Doanh nghiệp đang có vướng mắc về hoàn thuế giá trị gia tăng vui mừng khi được Chính phủ tháo gỡ khó khăn. Dù vậy, họ vẫn đau đáu, liệu doanh nghiệp của mình sớm được tháo gỡ ách tắc?
Liên minh OPEC+ sẽ họp xem xét quyết định sản lượng vào ngày 4/6 trong bối cảnh giá dầu thô đang đối mặt sự giằng co cung - cầu và các mối lo kinh tế vĩ mô.
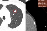
Hơn 20 năm hút thuốc lá, người đàn ông 62 tuổi nhận về kết quả ung thư phổi giai đoạn 4 đã di căn trong sự ngỡ ngàng, bởi bệnh diễn tiến âm thầm, lặng lẽ, các triệu chứng chỉ mới chớm xuất hiện.