-
800.000 bệnh nhân thận và áp lực mở rộng điều trị thay thế -
Tăng hậu kiểm để kiểm soát chất lượng thực phẩm -
Tin mới y tế ngày 10/1: Low carb sai lầm đẩy người trẻ vào vòng xoáy bệnh tật -
Đầu tư cho nội soi sớm giảm chi phí điều trị ung thư -
Thu hồi kem bôi da Tiacortisol
Bệnh nhân Đ.V.C. (42 tuổi, Hà Nội) đến Phòng khám Đa khoa MEDLATEC Thanh Xuân trong tình trạng ho khan dai dẳng, cảm giác tức ngực nhẹ, không khó thở. Ngoài ra, người bệnh còn xuất hiện các biểu hiện mệt mỏi kéo dài, khát nước, tiểu nhiều và sụt cân nhanh, giảm khoảng 8 kg chỉ trong vòng 3 tháng.
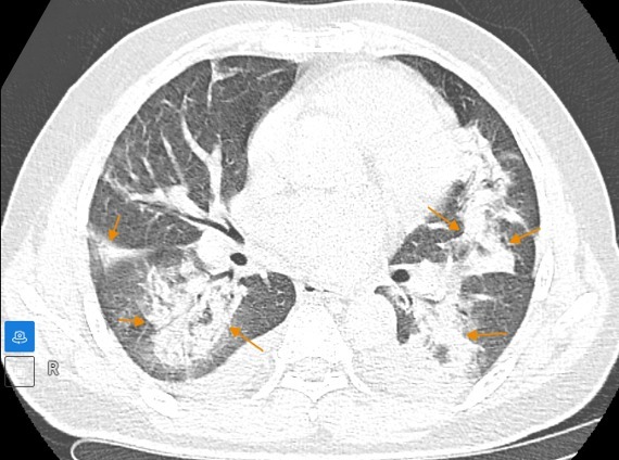
![]() |
| Ảnh minh họa. |
Trước đó, bệnh nhân đã tự thực hiện xét nghiệm nhanh 5 tác nhân virus đường hô hấp với kết quả âm tính và tự điều trị tại nhà. Tuy nhiên, các triệu chứng không thuyên giảm. Đáng chú ý, bệnh nhân có tiền sử sử dụng rượu bia hằng ngày, từng dùng thuốc giảm cân và nước kiềm không rõ nguồn gốc khoảng một tháng trước khi nhập viện.
Tại MEDLATEC Thanh Xuân, qua thăm khám lâm sàng và thực hiện các xét nghiệm cận lâm sàng cần thiết, các bác sĩ ghi nhận nhiều dấu hiệu bất thường tại phổi.
Kết quả thăm khám cho thấy thông khí phổi kém, rì rào phế nang giảm, xuất hiện nhiều ran ẩm, ran nổ; gõ đục nhiều vùng phổi, rung thanh tăng. Đây là những dấu hiệu điển hình của hội chứng đông đặc tổn thương phổi.
Hình ảnh chụp CT phổi độ phân giải cao cho thấy tổn thương đông đặc nhu mô phổi kèm xẹp phổi quanh bó mạch, phế quản, dày tổ chức kẽ dạng lưới, các vùng kính mờ lan tỏa trong nhu mô phổi và tràn dịch khoang màng phổi hai bên.
Từ các dữ liệu lâm sàng và hình ảnh học, bệnh nhân được chẩn đoán xác định mắc viêm phổi tổ chức hóa (Cryptogenic Organizing Pneumonia - COP), một dạng viêm phổi hiếm gặp.
Ngay sau đó, bệnh nhân được chỉ định điều trị nội khoa theo phác đồ phù hợp. Sau quá trình điều trị, các tổn thương phổi trên phim CT giảm rõ rệt, tình trạng tràn dịch đa màng cải thiện đáng kể.
Theo BSCKI Hoàng Minh Toại, chuyên khoa Hồi sức cấp cứu, Phòng khám Đa khoa MEDLATEC Thanh Xuân cho hay, viêm phổi tổ chức hóa là bệnh lý viêm phổi không rõ nguyên nhân, đặc trưng bởi sự hình thành các nút tổ chức viêm hạt trong lòng phế nang và tiểu phế quản.
Các xét nghiệm vi sinh thông thường không mang tính đặc hiệu, do đó chẩn đoán chủ yếu dựa vào biểu hiện lâm sàng kết hợp với hình ảnh CT phổi độ phân giải cao.
Các triệu chứng cảnh báo bệnh có thể bao gồm ho khan kéo dài, khó thở, mệt mỏi, sụt cân, đôi khi kèm sốt nhẹ; một số trường hợp có thể ho khạc ít đờm, đau ngực, ho ra máu nhẹ hoặc vã mồ hôi. Đáng lưu ý, bệnh thường không có biểu hiện rõ ràng của nhiễm trùng do virus, vi khuẩn hay ký sinh trùng.
Viêm phổi tổ chức hóa thường đáp ứng tốt với điều trị corticosteroid nếu được phát hiện sớm và điều trị đúng phác đồ. Tuy nhiên, thời gian điều trị có thể kéo dài nhiều tháng và cần theo dõi chặt chẽ để phòng ngừa tái phát. Nếu chậm trễ trong chẩn đoán, bệnh có thể tiến triển mạn tính, ảnh hưởng nghiêm trọng đến chức năng hô hấp và chất lượng sống của người bệnh.
Từ trường hợp trên, bác sỹ Hoàng Minh Toại khuyến cáo người dân không nên chủ quan trước các biểu hiện ho khan kéo dài, sụt cân nhanh, mệt mỏi, ngay cả khi không sốt hay khó thở.
Việc thăm khám sớm và thực hiện các thăm dò cận lâm sàng chuyên sâu sẽ giúp phát hiện kịp thời những bệnh lý phổi hiếm gặp, từ đó nâng cao hiệu quả điều trị và giảm thiểu biến chứng.
-
Chủ quan với ho khan, bệnh nhân đối mặt nguy cơ từ bệnh phổi hiếm -
Thu hồi kem bôi da Tiacortisol -
Ban hành danh mục 35 bệnh nghề nghiệp hưởng bảo hiểm xã hội -
Chuyên gia cảnh báo rủi ro sức khỏe từ thịt lợn nhiễm bệnh khi chế biến đồ hộp -
Đẩy nhanh hồ sơ bệnh án điện tử, lấy VNeID làm trục kết nối dữ liệu sức khỏe người dân -
Tin mới y tế ngày 9/1: Bộ Y tế ban hành hướng dẫn mới về phân nhóm thiết bị y tế -
Sốt cao, mệt mỏi có thể là dấu hiệu áp xe gan
-
1
Bài học kinh nghiệm giải ngân đầu tư công từ các địa phương đạt, vượt 100% vốn -
2
Quyết liệt giải ngân gần 1 triệu tỷ đồng vốn đầu tư công ngay từ đầu năm 2026 -
3
Chiến dịch Quang Trung: Hoàn thành sửa chữa 100% các nhà bị hư hỏng -
4
Lợi nhuận nhà băng tăng tốc, nhưng phân hóa rõ nét -
5
Thêm gia tốc cho mũi đột phá phát triển hạ tầng
-
Nha khoa Phương Thành khai trương trụ sở tại Cao Lãnh, Đồng Tháp -
Vietcombank năm 2025: Bản lĩnh ngân hàng trụ cột trong chu kỳ vượt lên thách thức để kiến tạo cho phát triển -
Tiêu chuẩn chọn hồng sâm 6 năm tuổi hỗ trợ sức khỏe -
SeABank thông báo mời thầu -
Searefico 14 năm liên tiếp được vinh danh trong Top 500 Doanh nghiệp tư nhân lớn nhất Việt Nam (VNR500) -
Big Group Holdings thông báo chào bán cổ phiếu ra công chúng

