-
Y tế số và cuộc cách mạng dữ liệu đang thay đổi ngành y Việt Nam -
Người Việt tiêu thụ muối gần gấp đôi mức khuyến cáo của Tổ chức Y tế thế giới -
Tin mới y tế ngày 16/5: Xây dựng “bộ khung chuẩn” cho bác sỹ y học cổ truyền -
TP.HCM hỗ trợ toàn diện Bệnh viện Bà Rịa, hướng tới bệnh viện cửa ngõ phía Đông Nam -
Tuần Lễ Vàng 2026 - Tiếp thêm hy vọng cho các gia đình hiếm muộn -
Dịch sốt xuất huyết tăng cao, chuyên gia cảnh báo biến chứng nặng của bệnh
Anh H. được đưa đến khám khi đột ngột xuất hiện đau tức ngực trái như dao đâm, lan lên vai và cánh tay trái, tăng khi thay đổi tư thế hoặc hít thở sâu.
Bên cạnh đó, theo lời bệnh nhân, anh kèm khó thở nhẹ, ho khan, trước đó hoàn toàn khỏe mạnh ngoài tiền sử hút thuốc 30 năm (mỗi hai ngày một bao) và từng phát hiện kén khí phổi vào năm 2022. Gia đình ghi nhận vợ anh từng điều trị lao phổi từ tháng 1 đến tháng 6/2025.
Thăm khám cho thấy bệnh nhân thở nhanh nông, phổi trái thông khí kém, gõ vang, rung thanh giảm, tam chứng Galliard dương tính.
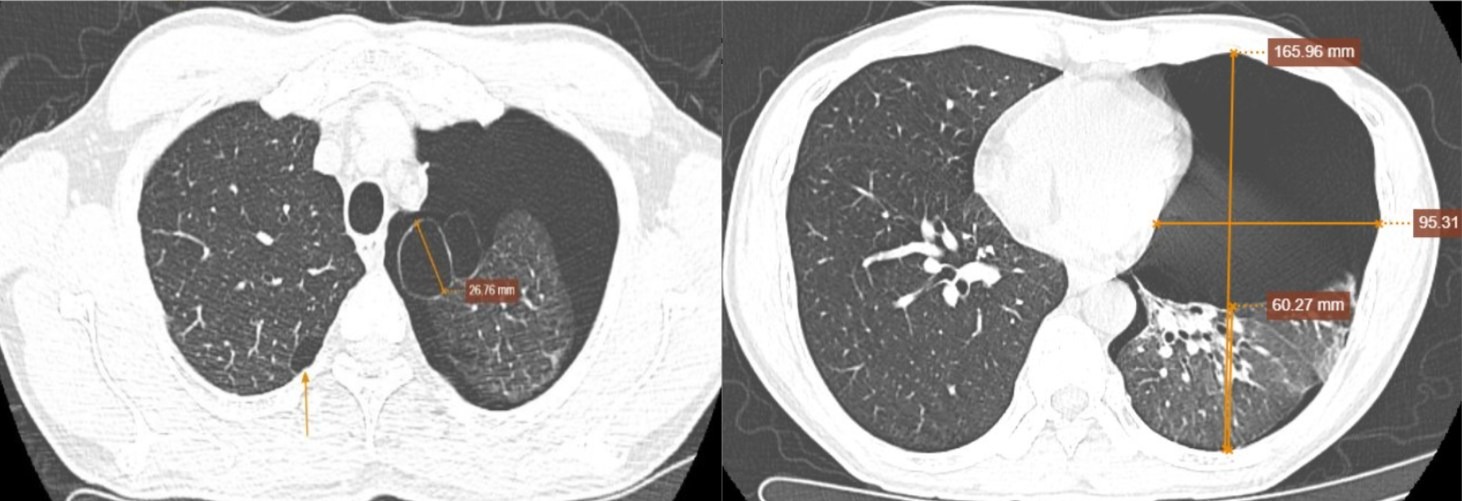
![]() |
| Phim chụp của bệnh nhân. |
Nhịp tim đều 98 lần/phút, huyết áp 140/90 mmHg, SpO₂ 95%. Kết quả CT liều thấp ghi nhận tràn khí khoang màng phổi trái mức độ nhiều, khiến phổi xẹp thụ động tới 75%, nghĩ nhiều đến nguyên nhân vỡ kén khí.
Hình ảnh còn cho thấy kén khí thùy trên phổi trái và giãn phế nang cạnh vách hai phổi. Siêu âm tim, màng phổi cho thấy tim bị đẩy lệch sang phải, mất dấu trượt màng phổi và không còn đường B-line.
Với chẩn đoán tràn khí màng phổi mức độ nặng do vỡ kén khí, các bác sỹ lập tức tiến hành chọc hút dẫn lưu bằng kim lớn. Chỉ sau 30 phút, tình trạng tức ngực, khó thở của bệnh nhân cải thiện rõ rệt, khí trong khoang màng phổi giảm và anh được chuyển tuyến để can thiệp nội soi xử lý kén khí. Một tuần sau, bệnh nhân hồi phục tốt, không còn đau ngực và đã được xuất viện.
Theo BSCKI. Hoàng Minh Toại, Phòng khám Đa khoa MEDLATEC Thanh Xuân, kén khí phổi là các nang chứa khí nằm trong nhu mô phổi, có thành mỏng và không đảm nhiệm chức năng hô hấp.
Kén khí có thể hình thành do bẩm sinh nhưng phần lớn là mắc phải bởi các bệnh lý hô hấp mạn tính như nhiễm trùng phổi, viêm phế quản mạn, khí phế thũng, áp xe phổi, tăng sinh lympho hay hút thuốc lá kéo dài. Đáng chú ý, nhiều trường hợp diễn tiến âm thầm, bệnh nhân chỉ phát hiện khi chụp chiếu tình cờ.
Một số người có thể xuất hiện triệu chứng hô hấp như ho, khó thở, hụt hơi, ho khan hoặc ho có đờm dính. Triệu chứng dễ bị nhầm lẫn với các bệnh lý hô hấp khác nên thường bị bỏ qua.
Nếu không được can thiệp sớm, kén khí có thể gây biến chứng nặng như vỡ kén dẫn đến tràn khí màng phổi, tình trạng cấp cứu nguy hiểm, hoặc nhiễm trùng tạo tràn mủ màng phổi. Kén lớn còn có thể chèn ép khí quản, thực quản, làm xẹp phổi hoặc gây khó nuốt, khó thở.
Bác sỹ Toại khuyến cáo những người có tiền sử hút thuốc nhiều năm, mắc bệnh phổi mạn tính, từng phát hiện kén khí hoặc bị nhiễm trùng hô hấp tái diễn cần được theo dõi chặt chẽ và khám sức khỏe định kỳ.
Việc kiểm tra hệ hô hấp thường xuyên giúp phát hiện sớm bất thường, can thiệp kịp thời và phòng tránh các biến chứng nguy hiểm như tràn khí màng phổi.
-
Y tế số và cuộc cách mạng dữ liệu đang thay đổi ngành y Việt Nam -
Người Việt tiêu thụ muối gần gấp đôi mức khuyến cáo của Tổ chức Y tế thế giới -
Tin mới y tế ngày 16/5: Xây dựng “bộ khung chuẩn” cho bác sỹ y học cổ truyền -
TP.HCM hỗ trợ toàn diện Bệnh viện Bà Rịa, hướng tới bệnh viện cửa ngõ phía Đông Nam
-
Tuần Lễ Vàng 2026 - Tiếp thêm hy vọng cho các gia đình hiếm muộn -
Dịch sốt xuất huyết tăng cao, chuyên gia cảnh báo biến chứng nặng của bệnh -
Tin mới y tế ngày 15/5: Giảm nguy cơ lây bệnh lao trong cộng đồng -
Hà Nội chủ động giám sát bệnh do vi rút Hanta, phòng bệnh từ sớm, từ xa -
Imexpharm ra mắt giải pháp hỗ trợ điều trị bệnh cơ xương khớp -
Cứ sáu ca mắc não mô cầu có một ca tử vong -
Nguy cơ liệt mặt và nhầm lẫn đột quỵ trong mùa nắng nóng
-
1
Đốc thúc đưa 1 triệu tỷ đồng vào nền kinh tế; Vành đai 3 TP.HCM dư 15.750 tỷ đồng -
2
Đề xuất bổ sung quy hoạch tuyến cao tốc Phan Thiết - Bảo Lộc - Gia Nghĩa -
3
Cần 24.311 tỷ đồng để thực hiện quy hoạch sân bay Cam Ranh công suất 20 triệu khách/năm -
4
Diễn biến mới về Dự án xây dựng Vành đai 5 - Vùng Thủ đô Hà Nội
-
EVF công bố bổ nhiệm nhân sự cấp cao -
Hoàng Thu Hiền: Kinh doanh món ăn gia đình bằng sự tử tế và cái tâm của người làm mẹ -
Điều hòa Daikin FTKM cho phép tùy chỉnh độ ẩm theo nhu cầu -
Công bố Top 10 doanh nghiệp đổi mới sáng tạo và kinh doanh hiệu quả 2026 ngành Logistics -
Công bố Top 10 doanh nghiệp đổi mới sáng tạo và kinh doanh hiệu quả 2026 ngành Dược - Thiết bị y tế -
Hạ tầng bứt tốc cùng vốn FDI đổ về: Đồng Nai vươn mình thành cực tăng trưởng mới

