-
Tin mới y tế ngày 11/3: Chuyên gia cảnh báo nguy cơ dễ gặp khi chơi thể thao -
Sau 20 năm sống với liệt mặt, người phụ nữ tìm lại hy vọng tại Bệnh viện E -
Phẫu thuật thành công ca viêm ruột thừa hiếm gặp ở trẻ có phủ tạng đảo ngược -
Cảnh báo nguy cơ mù lòa từ bệnh tắc tĩnh mạch trung tâm võng mạc -
Hơn 1.000 tỷ đồng đầu tư thiết bị hiện đại nâng chất lượng điều trị cho bệnh nhân ung thư -
Bộ Y tế đề xuất quy định mới về hoạt động tiêm chủng
Theo thông tin từ Bệnh viện Đa khoa MEDLATEC, bệnh nhân là chị N.H.A. (27 tuổi, Hà Nội). Khoảng một tuần trước khi nhập viện, chị A. xuất hiện các cơn đau đầu kéo dài kèm chóng mặt, nhìn mờ, cảm giác nhức và chói mắt. Đôi lúc, bệnh nhân còn thấy ánh sáng nhiễu, hiện tượng “ruồi bay” trước mắt, ảnh hưởng rõ rệt đến sinh hoạt hằng ngày.
Qua khai thác tiền sử, các bác sỹ ghi nhận bệnh nhân từng có tiền sử động kinh, thỉnh thoảng bị ngất và đã điều trị trong thời gian dài nhưng các triệu chứng không cải thiện đáng kể.
Trong quá trình thăm khám lâm sàng, bác sỹ nhận thấy bệnh nhân có biến đổi sắc tố da tại vùng trán, cung mày phải, một dấu hiệu gợi ý bất thường mạch máu. Để làm rõ nguyên nhân, bệnh nhân được chỉ định thực hiện các kỹ thuật cận lâm sàng chuyên sâu.
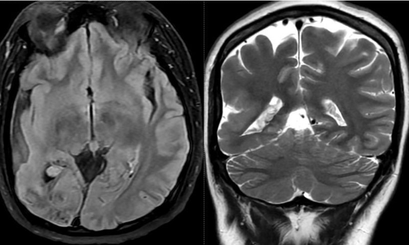
![]() |
| Hội chứng Sturge-Weber (SWS) là một rối loạn bẩm sinh hiếm gặp, đặc trưng bởi các bất thường mạch máu tại ba vị trí chính gồm da mặt, màng não và màng mạch mắt. |
Kết quả chụp cộng hưởng từ (MRI) sọ não cho thấy nhiều bất thường đáng chú ý, bao gồm tổn thương cũ có vôi hóa, teo não thùy chẩm phải, khu vực liên quan trực tiếp đến đường dẫn truyền thị giác. Ngoài ra, hình ảnh còn ghi nhận phì đại đám rối mạch mạc trong não thất bên phải và thiểu sản động mạch đốt sống phải đoạn nội sọ.
Dựa trên các biểu hiện lâm sàng điển hình kết hợp với kết quả chẩn đoán hình ảnh, các bác sỹ xác định bệnh nhân mắc hội chứng Sturge-Weber. Sau khi chẩn đoán, bệnh nhân được tư vấn theo dõi lâu dài và xây dựng phác đồ điều trị nội khoa nhằm kiểm soát triệu chứng, hạn chế biến chứng.
Theo các chuyên gia y tế, hội chứng Sturge-Weber (SWS) là một rối loạn bẩm sinh hiếm gặp, đặc trưng bởi các bất thường mạch máu tại ba vị trí chính gồm da mặt, màng não và màng mạch mắt. Tỷ lệ mắc bệnh ước tính chỉ khoảng 1/20.000 - 50.000 người. Đây không phải là bệnh lây nhiễm hay di truyền, mà xuất phát từ đột biến gen xảy ra ngẫu nhiên trong giai đoạn bào thai.
Biểu hiện của hội chứng Sturge-Weber rất đa dạng. Trong đó, vết bớt màu rượu vang ở vùng mặt là dấu hiệu thường gặp nhất và tồn tại suốt đời. Khoảng 75 - 90% bệnh nhân có biểu hiện động kinh, thường khởi phát sớm. Ngoài ra, người bệnh có thể gặp tăng áp lực nội sọ, các vấn đề về mắt như tăng nhãn áp, giảm thị lực, cũng như chậm phát triển trí tuệ và khó khăn trong học tập.
Nếu không được phát hiện và kiểm soát kịp thời, hội chứng này có thể dẫn tới nhiều biến chứng nghiêm trọng như mất thị lực, động kinh nặng, liệt tứ chi, thậm chí đe dọa tính mạng.
Hiện nay, chẩn đoán hội chứng Sturge-Weber chủ yếu dựa vào thăm khám lâm sàng kết hợp các phương tiện chẩn đoán hình ảnh hiện đại như MRI, CT scanner, khám chuyên khoa mắt và điện não đồ. Do là rối loạn bẩm sinh, bệnh không có biện pháp phòng ngừa đặc hiệu, việc phát hiện sớm và điều trị kiểm soát triệu chứng đóng vai trò then chốt trong cải thiện chất lượng sống cho người bệnh.
Các bác sỹ khuyến cáo, người dân không nên chủ quan với các triệu chứng như đau đầu kéo dài, chóng mặt, nhìn mờ hay các dấu hiệu thần kinh bất thường. Việc chủ động thăm khám tại các cơ sở y tế có chuyên môn sẽ giúp phát hiện sớm những bệnh lý tiềm ẩn, trong đó có cả những bệnh hiếm gặp nhưng tiềm ẩn nhiều nguy cơ như hội chứng Sturge-Weber.
-
Sau 20 năm sống với liệt mặt, người phụ nữ tìm lại hy vọng tại Bệnh viện E -
Phẫu thuật thành công ca viêm ruột thừa hiếm gặp ở trẻ có phủ tạng đảo ngược -
Cảnh báo nguy cơ mù lòa từ bệnh tắc tĩnh mạch trung tâm võng mạc -
Hơn 1.000 tỷ đồng đầu tư thiết bị hiện đại nâng chất lượng điều trị cho bệnh nhân ung thư
-
Bộ Y tế đề xuất quy định mới về hoạt động tiêm chủng -
Tin mới y tế ngày 10/3: Cảnh báo nguy hiểm từ trào lưu tiêm filler làm thẳng chân tại nhà -
Lễ hội đông đúc, áp lực an toàn thực phẩm tăng cao -
Tầm soát khô mắt: Từ triệu chứng nhỏ đến vấn đề sức khỏe cộng đồng -
Bộ Y tế đề xuất giám sát rộng nguy cơ bệnh không lây nhiễm -
Tin mới y tế ngày 9/3: Phát hiện ung thư phổi hiếm gặp từ khối u không triệu chứng -
Coi chừng “tiền mất, tật mang” khi tự ý dùng thuốc nam
-
Tập đoàn TH xây nhà máy mới ở TP.HCM, mốc son mới trên con đường Vì sức khỏe cộng đồng
-
Green i-Park nhận hai chứng nhận ISO quốc tế, khẳng định bước tiến trong quản trị và phát triển bền vững -
Roadshow Vinhomes Green Paradise Cần Giờ sôi động trong ngày 8/3, lan tỏa thông điệp tôn vinh phái đẹp -
Tăng cường sản xuất, tiêu thụ than, góp phần đảm bảo an ninh năng lượng quốc gia -
MICC Group đồng hành ra quân chiến dịch roadshow dự án Vinhomes Green Paradise Cần Giờ tại 3 thành phố lớn -
Chuỗi hội nghị quốc tế và hội thảo kỹ thuật tại VietShrimp Asia & Aquaculture Vietnam 2026

