-
Đề xuất phạt tới 100 triệu đồng với cơ sở dùng động vật nhiễm bệnh chế biến thực phẩm -
Bé 2 tuổi tử vong do não mô cầu, người thân phải cách ly y tế -
Tin mới y tế ngày 28/4: Cảnh báo tình trạng giả mạo bác sỹ lừa đảo bệnh nhân -
Dịch tay chân miệng diễn biến phức tạp, Hà Nội siết chặt “lá chắn” bảo vệ trẻ nhỏ -
Mất ngủ kéo dài vì áp lực công việc, người đàn ông 36 tuổi đối mặt nhiều nguy cơ sức khỏe
Vừa qua, Bệnh viện Đa khoa MEDLATEC tiếp nhận bà N.T.M. 61 tuổi đến khám do sốt cao. Khai thác bệnh sử cho thấy, trước khi nhập viện một ngày, bệnh nhân xuất hiện sốt cao kèm rét run liên tục, nhiệt độ có lúc lên tới 40 độ C, tiểu sẫm màu và tức bụng vùng hạ vị.
Ban đầu, bệnh nhân tự uống thuốc hạ sốt nhưng không đỡ nên đã đặt lịch xét nghiệm tại nhà. Kết quả cho thấy các chỉ số viêm tăng cao, trong đó CRP đạt 92,67 mg trên lít, bạch cầu và bạch cầu trung tính đều tăng.
![]() |
| Hình ảnh theo dõi viêm thận bể thận bên phải trên MRI. |
Tổng phân tích nước tiểu ghi nhận bạch cầu, hồng cầu tăng và nitrit dương tính. Ngay sau đó, bệnh nhân được tư vấn nhập viện để tiếp tục thăm khám và điều trị.
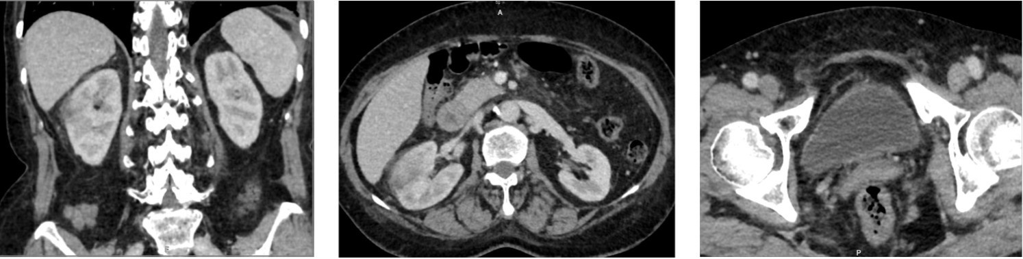
Tại bệnh viện, người bệnh được chỉ định thực hiện các xét nghiệm vi sinh và chẩn đoán hình ảnh chuyên sâu. Kết quả nuôi cấy máu và nước tiểu đều dương tính với vi khuẩn Klebsiella pneumoniae, một trong những tác nhân gây nhiễm trùng nguy hiểm. Siêu âm ổ bụng phát hiện nốt vôi hóa gan phải và nang thận phải.
Trên phim chụp CT có tiêm thuốc cản quang, các bác sỹ ghi nhận hình ảnh gợi ý viêm thận bể thận phải kèm theo nang thận phải. Từ các kết quả trên, bệnh nhân được chẩn đoán nhiễm khuẩn huyết có nguồn gốc từ đường tiết niệu.
Sau quá trình điều trị nội trú, tình trạng bệnh nhân cải thiện tốt và đã được xuất viện. Tuy nhiên, theo các bác sỹ, đây là trường hợp điển hình cho thấy mức độ nguy hiểm của nhiễm khuẩn huyết, một bệnh lý có thể diễn tiến rất nhanh nếu không được phát hiện và xử trí kịp thời.
Theo bác sỹ Trần Văn Thụ, Phó Giám đốc Trung tâm Chẩn đoán hình ảnh MEDLATEC, nhiễm khuẩn huyết là tình trạng nhiễm trùng cấp tính nặng do vi khuẩn lưu hành trong máu gây ra. Bệnh có thể dẫn đến sốc nhiễm khuẩn và suy đa tạng với tỷ lệ tử vong rất cao, dao động từ 20 đến 50%.
Tác nhân gây bệnh rất đa dạng, bao gồm các vi khuẩn gram âm đường ruột như Salmonella, Escherichia coli, Klebsiella, Serratia; các vi khuẩn như Pseudomonas aeruginosa, Burkholderia pseudomallei; vi khuẩn gram dương như Streptococcus pneumoniae, Staphylococcus aureus, Streptococcus suis; cùng các vi khuẩn kị khí như Clostridium perfringens và Bacteroides fragilis.
Trong thực hành lâm sàng, cấy máu dương tính được xem là tiêu chuẩn quan trọng giúp xác định tác nhân gây bệnh và định hướng điều trị kháng sinh phù hợp. Bên cạnh đó, các xét nghiệm viêm như CRP, Procalcitonin, công thức máu và đánh giá chức năng cơ quan đóng vai trò hỗ trợ trong việc theo dõi mức độ nặng và diễn tiến của bệnh.
Chẩn đoán hình ảnh như siêu âm, CT hoặc MRI cũng được chỉ định trong nhiều trường hợp, đặc biệt khi biểu hiện lâm sàng không điển hình, bệnh nhân không đáp ứng điều trị sau 48 đến 72 giờ, có yếu tố nguy cơ cao như đái tháo đường, sỏi tiết niệu, suy giảm miễn dịch hoặc cần tìm ổ nhiễm và tầm soát biến chứng như áp xe, hoại tử, tắc nghẽn đường tiết niệu.
Theo bác sỹ Thụ, nhiễm khuẩn huyết có nguồn gốc từ đường tiết niệu thường khởi phát từ các bệnh lý như viêm thận bể thận cấp, tắc nghẽn do sỏi hoặc bất thường cấu trúc đường niệu. Nếu không được phát hiện sớm và kiểm soát ổ nhiễm, vi khuẩn có thể nhanh chóng xâm nhập vào máu và gây biến chứng toàn thân nghiêm trọng.
Các chuyên gia khuyến cáo, người dân khi xuất hiện các triệu chứng nghi ngờ như sốt cao, rét run, đau hông lưng, tiểu buốt, tiểu mủ hoặc các biểu hiện bất thường khác cần đến ngay cơ sở y tế có chuyên khoa Thận tiết niệu để được thăm khám và điều trị kịp thời.
Việc chủ quan với những dấu hiệu ban đầu tưởng chừng đơn giản có thể khiến người bệnh đối mặt với những biến chứng nguy hiểm, thậm chí đe dọa tính mạng.
-
Bé 2 tuổi tử vong do não mô cầu, người thân phải cách ly y tế -
Tin mới y tế ngày 28/4: Cảnh báo tình trạng giả mạo bác sỹ lừa đảo bệnh nhân -
Dịch tay chân miệng diễn biến phức tạp, Hà Nội siết chặt “lá chắn” bảo vệ trẻ nhỏ -
Mất ngủ kéo dài vì áp lực công việc, người đàn ông 36 tuổi đối mặt nhiều nguy cơ sức khỏe
-
RSV và phế cầu là “thủ phạm” chính gây viêm phổi nặng ở trẻ nhỏ -
Tin mới y tế ngày 27/4: Tầm soát công nghệ cao giúp phát hiện sớm bệnh mạn tính, giảm nguy cơ biến chứng -
Cá thể hóa điều trị giúp người bệnh mạn tính cải thiện chất lượng sống -
Phát hiện tổn thương tiền ung thư chỉ sau 4 ngày xuất hiện dấu hiệu bất thường -
Nhiều người dân vẫn chủ quan trong phòng chống dịch bệnh -
Không được từ chối cấp cứu người bệnh trong dịp nghỉ lễ -
Tin mới y tế ngày 26/4: Phòng ngừa biến chứng bệnh mạn tính nhờ tầm soát công nghệ cao chuyên sâu
-
Từ Đất Tổ, Phan Vũ triển khai 1.000 cây xanh, cụ thể hóa chiến lược phát triển bền vững -
Canva “đổ bộ” Việt Nam, nhắm tới thị trường 20 triệu thiết kế mỗi tháng -
SeABank thông báo mời thầu -
Dòng tiền “bốn mùa”: Tiêu chí định giá mới của bất động sản nghỉ dưỡng chăm sóc sức khỏe -
Phố chợ gỗ mỹ nghệ Đông Giao: Dấu ấn Tây Bắc Group tại vùng đất làng nghề trăm năm -
NCB ra mắt bộ giải pháp giúp doanh nghiệp vừa và nhỏ tối ưu vận hành, chủ động dòng tiền

