Vừa qua, Ngân hàng TMCP Đông Nam Á (SeABank, HOSE: SSB) đã được trao tặng hai giải thưởng ghi nhận sự phát triển về quy mô cũng như văn hóa tổ chức của Ngân hàng.
Trong điều hành giá thời gian qua, nhóm năng lượng tiếp tục giữ vai trò then chốt. Việc giữ ổn định mặt bằng giá năng lượng được xem là yếu tố quan trọng góp phần kiểm soát lạm phát và ổn định kinh tế vĩ...
Dù vẫn đối mặt với các rủi ro liên quan đến chi phí vốn tăng, mức độ phân hóa tín dụng, thị trường trái phiếu doanh nghiệp năm 2026 vẫn được dự báo rất tích cực với xu hướng cải thiện về chất lượng.
Trước thềm Tết Nguyên Đán, khi nhu cầu bổ sung vốn để nhập hàng, mở rộng kinh doanh và chuẩn bị cho mùa cao điểm mua sắm gia tăng mạnh, VietinBank triển khai chương...
Chỉ nửa đầu tháng 1/2026, lực lượng Hải quan đã phát hiện, bắt giữ hơn 1,5 tấn thực phẩm đông lạnh và 3,3 tấn lá thuốc lá sấy khô nhập lậu trên tuyến biên giới phía Bắc, phản ánh buôn lậu dịp cận Tết...
Carlsberg Việt Nam và Grab Việt Nam chính thức ký kết biên bản ghi nhớ hợp tác (MOU) nhằm thúc đẩy thói quen uống có trách nhiệm, gắn liền với việc lựa chọn các phương...
Lực lượng chức năng đã phát hiện, thu giữ hàng ngàn sản phẩm thực phẩm chức năng giả, kém chất lượng của Công ty Medistar Việt Nam, trong đường dây sản xuất hàng trăm tấn thực phẩm chức năng giả có doanh thu...
Viettel khởi công Nhà máy chế tạo chip bán dẫn công nghệ cao đánh dấu sự kiện lần đầu tiên Việt Nam chính thức bước vào công đoạn khó nhất, phức tạp nhất của chuỗi giá trị bán dẫn toàn cầu: chế tạo chip.
Trung tâm y tế quận Đống Đa đã bố trí 10 bàn lấy mẫu với gần 100 nhân viên y tế túc trực, dự kiến lấy mẫu xét nghiệm Covid-19 cho 2.009 người về từ vùng trong ngày 19/2.
Trước diễn biến phức tạp của dịch bệnh Covid-19, TP.Hà Nội tổ chức duy nhất một điểm bắn pháo hoa tầm cao chào đón năm mới Tân Sửu 2021 tại Công viên Thống Nhất.
Trị giá xuất nhập khẩu của khối doanh nghiệp có vốn đầu tư trực tiếp nước ngoài (FDI) trong năm 2025 đạt 683,35 tỷ USD, tăng thêm 153,3 tỷ USD (tăng 28,9%) so với năm trước. Xuất nhập khẩu của khu vực doanh nghiệp...
Đầu tư mạnh vào CX Platform nhưng hiệu quả chưa tương xứng, nhiều tổ chức Tài chính – Ngân hàng đang đối mặt với bài toán CX vượt ra ngoài phạm vi lựa chọn công nghệ.
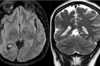
Tới cơ sở y tế thăm khám vì những triệu chứng tưởng chừng rất phổ biến như đau đầu, chóng mặt, nhìn mờ, một nữ bệnh nhân trẻ tuổi tại Hà Nội đã được các bác sỹ phát hiện mắc hội chứng Sturge-Weber....
Bệnh viện Bạch Ma sử dụng trí tuệ nhân tạo (AI) để phân tích, xác định tổn thương ác tính khoảng 97%, chỉ định phẫu thuật nội soi cắt một thùy phổi kèm nạo vét hạch cho bệnh nhân.