Một bé gái 8 tuổi sống tại Hà Nội đã được các bác sỹ Bệnh viện Bệnh Nhiệt đới Trung ương phẫu thuật thành công để loại bỏ khối u sắc tố bẩm sinh khổng lồ...
Dự báo, chiều 21/7 bão số 3 đi vào vịnh Bắc Bộ với cường độ cấp 10-11, giật cấp 14. Đổ bộ vào đất liền Bắc Bộ đến Nghệ An trong ngày 22/7/2025. Người dân ở các vùng bị bão đổ bộ cần thực hiện sớm một...
Ông Nguyễn Đức Thông sẽ đảm nhận chức vụ Tổng giám đốc SSI từ 1/8/2025. Trước khi gia nhập SSI 6 năm trước, vị CEO 8x từng có nhiều năm làm việc tại các tổ chức tài chính hàng đầu thế giới như Goldman Sachs,...
Chỉ trong vòng 1 tuần sau buổi làm việc của Bí thư Tỉnh ủy và lãnh đạo UBND tỉnh Gia Lai với chủ đầu tư, vướng mắc liên quan dự án đầu tư xây dựng hệ thống thoát...
XCMG Machinery công ty về sản xuất máy móc hạng nặng, cùng công ty con XCMG Import & Export Co., Ltd., đã được International Certification Network (IQNET) cấp Chứng nhận Hệ thống quản lý tuân thủ ISO 37301:2021, cùng với Chứng...
Cục Hải quan ban hành công điện khẩn yêu cầu các đơn vị chủ động ứng phó bão số 3 (WIPHA), bảo vệ tài sản, an toàn nhân viên, duy trì trực ban 24/24 và phối hợp chặt chẽ với địa phương để giảm thiểu thiệt...
Từ biệt thự đảo Ecopark đến Đảo Châu Âu (Eco Central Park), nhà sáng lập Ecopark đã nâng cấp dòng sản phẩm signature của chính mình lên tầm cao mới, đưa Đảo Châu Âu...
Ngày 20/7, trước diễn biến phức tạp của bão WIPHA – cơn bão số 3 năm 2025, Chủ tịch UBND TP. Hà Nội Trần Sỹ Thanh đã ban hành Công điện khẩn, yêu cầu toàn bộ hệ thống chính quyền các cấp và lực lượng chức năng...
Đồng hành cùng Ủy ban Mặt trận Tổ Quốc Việt Nam (MTTQ) tỉnh Quảng Ninh, nhằm hỗ trợ các nạn nhân trong vụ tai nạn lật tàu du lịch chiều 19/7 trên vịnh Hạ Long, Tập đoàn Sun Group đã trao tặng hơn 2 tỷ đồng.
Trung tâm y tế quận Đống Đa đã bố trí 10 bàn lấy mẫu với gần 100 nhân viên y tế túc trực, dự kiến lấy mẫu xét nghiệm Covid-19 cho 2.009 người về từ vùng trong ngày 19/2.
Trước diễn biến phức tạp của dịch bệnh Covid-19, TP.Hà Nội tổ chức duy nhất một điểm bắn pháo hoa tầm cao chào đón năm mới Tân Sửu 2021 tại Công viên Thống Nhất.
Cảng hàng không quốc tế Gia Bình đang được đề xuất điều chỉnh quy hoạch để đáp ứng mục tiêu, công suất khoảng 30 triệu hành khách đến năm 2030 và 50 triệu hành khách tầm nhìn đến năm 2050.
Thị trường bất động sản Khánh Hòa đang chuyển dịch từ các giao dịch đầu cơ, lướt sóng nhỏ lẻ sang các giao dịch tập trung vào các quỹ đất có giá trị cao và pháp lý hoàn chỉnh.
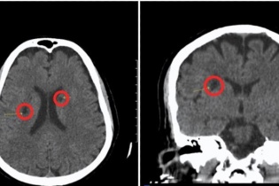
Chỉ trong vòng 30 phút từ khi nhập viện, một cụ bà 70 tuổi đã được các bác sỹ cấp cứu kịp thời bằng phương pháp tiêm thuốc tiêu sợi huyết, vượt qua cơn đột...
Phần lớn các dự án đầu tư tại Khu kinh tế Vân Phong, tỉnh Khánh Hòa đều vướng mắc công tác giải phóng mặt bằng, dẫn đến chậm tiến độ triển khai các dự án trọng điểm trong khu kinh tế này.
Loại bỏ ông Jerome Powell khỏi ghế Chủ tịch Fed hay kể cả thực hiện cắt giảm lãi suất cơ bản, cũng khó có thể giải quyết vấn đề thâm hụt lớn của nền kinh tế Mỹ, theo giới phân tích.