-
Phát hiện sớm tổn thương tiền ung thư bằng xét nghiệm CINtec PLUS -
Căn bệnh nguy hiểm khiến cô gái bỗng nhiên sốt cao, rét run -
Cảnh báo nguy cơ biến chứng sốt xuất huyết Dengue khi nhập viện muộn -
Chất lượng dân số - nền tảng phát triển bền vững của Thái Nguyên -
Tin mới y tế ngày 16/3: Nguy cơ sức khỏe của béo phì với hàng trăm bệnh do biến chứng -
Ca tử vong do bệnh dại gia tăng, Bộ Y tế khuyến cáo cách phòng chống
Không ít người cho rằng ung thư vòng 1 chủ yếu xảy ra ở phụ nữ trung niên, trong khi tuổi cao được xem là giai đoạn ít rủi ro hơn. Thực tế lâm sàng cho thấy, quan niệm này tiềm ẩn nhiều nguy cơ, bởi ung thư vòng 1 có thể xuất hiện ở mọi độ tuổi.
![]() |
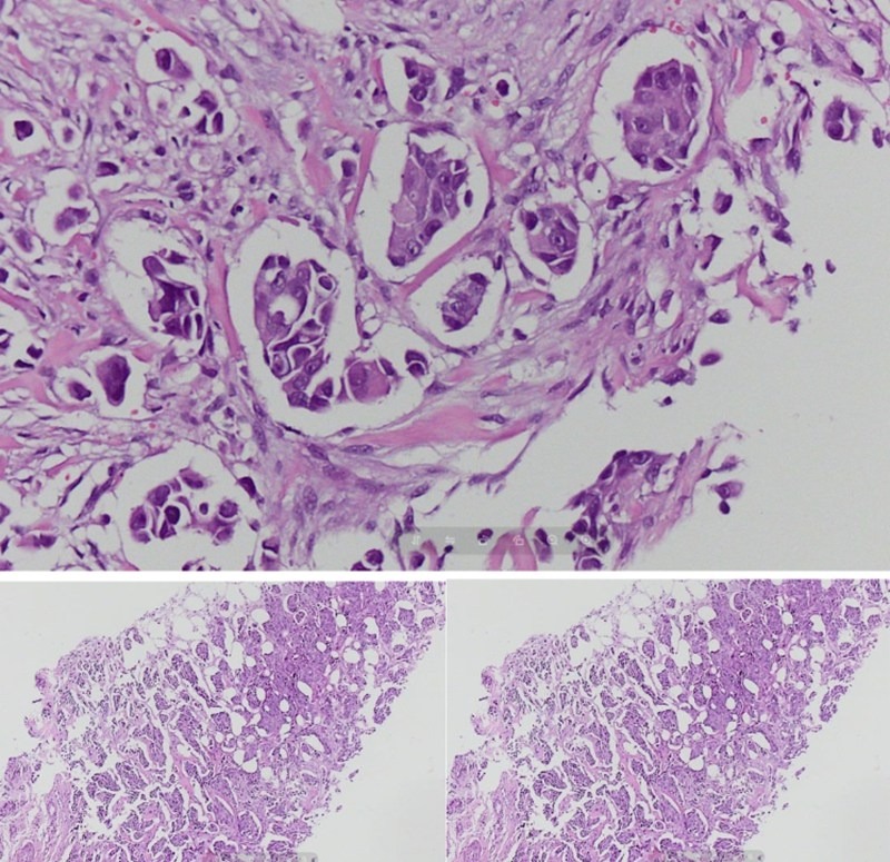
| Xét nghiệm mô bệnh học xác định bệnh nhân mắc Carcinoma tuyến vú thể ống xâm nhập |
Trường hợp bệnh nhân nữ 75 tuổi được chẩn đoán ung thư vú tại Hệ thống Y tế MEDLATEC là minh chứng rõ ràng cho việc chủ quan trước các dấu hiệu bất thường có thể reveal bệnh ở giai đoạn muộn.
Bệnh viện Đa khoa MEDLATEC vừa tiếp nhận bà N.T.T, 75 tuổi, đến thăm khám trong tình trạng xuất hiện khối u tại bên trái. Theo chia sẻ của người bệnh, khối u đã tồn tại một thời gian nhưng được cho là biểu hiện lão hóa thông thường của tuổi già nên không đi khám sớm.
Tại MEDLATEC, bệnh nhân được PGS-TS.Đoàn Hữu Nghị, nguyên Giám đốc Bệnh viện E, nguyên Phó Giám đốc Bệnh viện K, Phó Chủ tịch Hội Ung thư Hà Nội, hiện là chuyên gia ung bướu tại Hệ thống Y tế MEDLATEC, trực tiếp thăm khám và chỉ đạo quá trình chẩn đoán.
Dựa trên kinh nghiệm lâm sàng lâu năm, PGS-TS.Đoàn Hữu Nghị nhận định tổn thương tại tuyến vú trái có nguy cơ ác tính cao, đồng thời chỉ định thực hiện các thăm dò cận lâm sàng chuyên sâu nhằm làm rõ bản chất khối u.
Kết quả chụp X quang tuyến vú kỹ thuật số cho thấy nốt tăng đậm độ tại nhu mô vú trái, được phân loại BIRADS 5. Siêu âm tuyến vú tiếp tục ghi nhận hình ảnh nhân tuyến vú trái BIRADS 5, kèm theo hạch hố nách hai bên. Trên phim chụp CT lồng ngực, hình ảnh khối u tuyến vú trái được xác nhận rõ ràng.
Để xác định chính xác chẩn đoán, bệnh nhân được chỉ định sinh thiết khối u dưới hướng dẫn của siêu âm. Mẫu bệnh phẩm sau đó được chuyển tới Trung tâm Giải phẫu bệnh MEDLATEC để phân tích.
Kết quả mô bệnh học thường quy với nhuộm Hematoxylin Eosin xác định bệnh nhân mắc carcinoma tuyến vú thể ống xâm nhập, độ mô học II. Nhằm đánh giá tiên lượng và xây dựng phác đồ điều trị tối ưu, các bác sỹ tiếp tục thực hiện xét nghiệm hóa mô miễn dịch với bốn dấu ấn ER, PR, HER2 và Ki 67.
Kết quả cho thấy khối u thuộc phân típ phân tử lòng ống B, HER2 dương tính 3+, được chẩn đoán là carcinoma tuyến vú xâm nhập, biểu mô thể ống, độ mô học II.
Trên cơ sở đầy đủ dữ liệu mô bệnh học và hóa mô miễn dịch, các bác sỹ đã có căn cứ để lựa chọn phác đồ điều trị đích phù hợp. Sau ba đợt hóa trị, bệnh nhân đáp ứng tốt, kích thước khối u giảm hơn 50 phần trăm so với thời điểm thăm khám ban đầu.
Theo PGS-TS.Đoàn Hữu Nghị, ung thư tuyến vú thể ống xâm nhập là dạng ung thư vú thường gặp nhất, có khả năng tiến triển nhanh và di căn nếu không được phát hiện kịp thời.
Trong thực hành lâm sàng, các phương pháp chẩn đoán hình ảnh như siêu âm, X quang hay cộng hưởng từ giúp phát hiện sự hiện diện của khối u. Tuy nhiên, để hiểu rõ bản chất tổn thương, giải phẫu bệnh vẫn giữ vai trò trung tâm.
Giải phẫu bệnh giúp phân biệt chính xác tổn thương lành tính và ác tính, xác định loại mô học của ung thư, đánh giá mức độ ác tính thông qua phân độ mô học, đồng thời nhận diện các đặc tính sinh học quan trọng bằng xét nghiệm hóa mô miễn dịch. Đây là cơ sở để dự báo tiên lượng và lựa chọn phương pháp điều trị phù hợp cho từng bệnh nhân.
Đối với người cao tuổi, các biểu hiện của ung thư vú thường không rầm rộ, dễ bị nhầm lẫn với những thay đổi thông thường của cơ thể theo tuổi tác. Việc trì hoãn thăm khám khiến nhiều trường hợp chỉ được phát hiện khi bệnh đã ở giai đoạn xâm nhập, làm gia tăng chi phí điều trị và ảnh hưởng đến chất lượng sống.
Từ trường hợp trên, các chuyên gia khuyến cáo phụ nữ ở mọi độ tuổi, đặc biệt là nhóm cao tuổi, cần duy trì thói quen tự theo dõi tuyến vú và thăm khám định kỳ. Khi phát hiện bất kỳ dấu hiệu bất thường nào, việc tiếp cận cơ sở y tế sớm có ý nghĩa quyết định trong phát hiện bệnh ở giai đoạn còn khả năng kiểm soát và điều trị hiệu quả.
-
Tin mới y tế ngày 16/3: Nguy cơ sức khỏe của béo phì với hàng trăm bệnh do biến chứng -
Ca tử vong do bệnh dại gia tăng, Bộ Y tế khuyến cáo cách phòng chống -
Ba dấu hiệu thường gặp của viêm mũi xoang dị ứng -
Tin mới y tế ngày 15/3: Những sai lầm trong điều trị khiến bệnh gout ngày càng nặng -
Hưng Yên định hướng xây dựng Bệnh viện Đa khoa tỉnh 1.500 giường -
Đề xuất mở rộng sàng lọc 90 bệnh bẩm sinh để tránh bỏ lỡ “thời điểm vàng” điều trị -
Hơn 90% người Việt mắc bệnh răng miệng
-
Doanh nghiệp Pháp ngữ tăng cường kết nối đầu tư tại Djibouti -
Thị trường tuyển dụng "tăng nhiệt", Vieclam24h tạo cú hích chiến lược với quà tặng Vàng 24K và iPhone 17 Pro -
Dệt may Việt Nam có cơ hội định hình tương lai mới nhờ đầu tư vào công nghệ -
NovaGroup bắt tay với bệnh viện, đón sóng du lịch chăm sóc sức khỏe và “kinh tế bạc” -
Quỹ Văn hóa DB Kim Jun Ki trao tặng học bổng cho sinh viên 9 trường đại học thuộc VECOM -
Tổ vay vốn - “cánh tay nối dài” đưa tín dụng Agribank đến với nông dân

