-
Ngộ độc khí CO nặng do chữa bệnh theo hướng dẫn trên mạng xã hội -
TP.HCM: Tăng cường giám sát y tế tại sân bay Tân Sơn Nhất phòng bệnh do virus Nipah -
Trước nguy cơ virus Nipah xâm nhập, các địa phương chủ động kích hoạt phương án phòng dịch -
Siết chặt quản lý thuốc lá điện tử, không để khoảng trống pháp lý -
Tin mới y tế ngày 28/1: Cẩn trọng tình trạng đau xương khớp khi trời lạnh
Nữ bệnh nhân phát hiện sớm ung thư vú nhờ mô hình chẩn đoán liên thông
Bệnh nhân nữ, 48 tuổi, ở Hà Tĩnh tình cờ phát hiện tổn thương ở vú khi khám sức khỏe tổng quát. Sau đó, chị đã đến thăm khám chuyên sâu tại một phòng khám ở Hà Tĩnh.
Qua siêu âm tuyến vú, bác sỹ phát hiện nhân tuyến vú trái có đặc điểm hình thái bất thường, được phân loại BI-RADS 4. Bằng kinh nghiệmb lâm sàng dày dặn, bác sỹ nhận định đây là tổn thương nghi ngờ ác tính cao. Bệnh nhân được chỉ định chọc hút tế bào bằng kim nhỏ (FNA) ngay tại phòng khám.
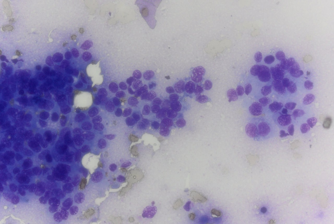
![]() |
| Kết quả xét nghiệm tế bào học cho thấy đây là tổn thương ác tính. |
Mẫu bệnh phẩm sau khi lấy được chuyển về Trung tâm Giải phẫu bệnh MEDLATEC để phân tích chuyên sâu với quy trình được thực hiện nghiêm ngặt theo tiêu chuẩn quốc tế.
Việc cố định mẫu đảm bảo hình thái tế bào nguyên vẹn, không bị biến dạng. Kỹ thuật nhuộm Giemsa: Giúp làm nổi bật các đặc điểm nhân và bào tương của tế bào ác tính.
Áp dụng hệ thống phân loại Yokohama 2019: Đây là tiêu chuẩn quốc tế mới nhất trong báo cáo tế bào học tuyến vú, giúp chuẩn hóa ngôn ngữ chẩn đoán giữa bác sỹ giải phẫu bệnh và bác sỹ lâm sàng cho thấy đây là tổn thương ác tính
Xét nghiệm tế bào học tại MEDLATEC https://medlatec.vn/) kết luận đây là tổn thương ác tính (nhóm V theo phân loại Yokohama 2019), phù hợp với ung thư biểu mô tuyến vú. Kết quả này là "chìa khóa” giúp bác sỹ lâm sàng có cơ sở vững chắc để xây dựng chiến lược can thiệp và điều trị chuyên sâu cho người bệnh.
Tầm quan trọng của xét nghiệm tế bào học trong chẩn đoán ung thư vú
Trong quy trình tầm soát và chẩn đoán ung thư vú, xét nghiệm tế bào học (Cytology) đóng vai trò quan trọng giúp phát hiện sớm các bất thường. Theo ThS.BSNT Trương Quốc Thanh, Quyền Giám đốc Trung tâm Giải phẫu bệnh MEDLATEC, đây là phương pháp cận lâm sàng dựa trên việc thu thập, xử lý và phân tích hình thái tế bào dưới kính hiển vi để tìm kiếm các dấu hiệu bệnh lý.
Mẫu bệnh phẩm tế bào có thể được thu thập bằng nhiều kỹ thuật khác nhau, trong đó phổ biến nhất trong bệnh lý tuyến vú gồm: chọc hút tế bào bằng kim nhỏ (Fine Needle Aspiration Cytology, FNAC); lấy tế bào từ dịch tiết núm vú hoặc các dịch cơ thể liên quan.
So với sinh thiết mô, xét nghiệm tế bào học là phương pháp ít xâm lấn, an toàn, chi phí thấp, thời gian thực hiện nhanh và có thể lặp lại nhiều lần. Nhờ những ưu điểm này, tế bào học đặc biệt phù hợp trong đánh giá ban đầu các khối u vú nghi ngờ, hỗ trợ sàng lọc và định hướng chẩn đoán.
Kết quả xét nghiệm tế bào học giúp phân loại tổn thương theo hướng lành tính, nghi ngờ hoặc ác tính; từ đó định hướng chỉ định sinh thiết mô học, phẫu thuật hoặc theo dõi, đồng thời hạn chế các can thiệp không cần thiết đối với các tổn thương lành tính.
Trong thực hành lâm sàng, xét nghiệm tế bào học thường được sử dụng phối hợp với thăm khám lâm sàng và các phương tiện chẩn đoán hình ảnh như siêu âm, nhũ ảnh.
Sự tương quan của ba yếu tố này, còn gọi là “Triple test”, góp phần nâng cao độ chính xác trong chẩn đoán ung thư vú, là cơ sở quan trọng để bác sỹ lâm sàng đưa ra quyết định can thiệp kịp thời, phù hợp cho người bệnh.
MEDLATEC - Kết nối y tế tuyến cơ sở với chẩn đoán chuyên sâu
Từ trường hợp nữ bệnh nhân nêu trên có thể thấy rằng, việc phát hiện sớm ung thư không phụ thuộc vào khoảng cách địa lý, mà được quyết định bởi sự đồng bộ của nhiều yếu tố then chốt, bao gồm năng lực phát hiện ban đầu của bác sỹ chẩn đoán hình ảnh; chỉ định kịp thời và phù hợp các thủ thuật xâm lấn tối thiểu; Hệ thống giải phẫu bệnh có chuyên môn sâu, được chuẩn hóa;
![]() |
| MEDLATEC là đối tác của hơn 17.000 bác sĩ, phòng khám, các bệnh viện hàng đầu trên khắp cả nước, cùng nhau thúc đẩy và phát triển dịch vụ y tế chất lượng cao |
Mô hình kết nối hiệu quả giữa tuyến y tế cơ sở và các trung tâm chuyên môn. Khi các yếu tố này được phối hợp nhịp nhàng, người bệnh tại tuyến tỉnh hoàn toàn có thể tiếp cận chất lượng chẩn đoán tương đương tuyến trung ương.
Với định hướng phát triển y tế dựa trên sự liên thông chuyên môn và chuẩn hóa chất lượng chẩn đoán, Hệ thống Y tế MEDLATEC đã xây dựng một hệ sinh thái chẩn đoán toàn diện. Đây chính là điểm tựa vững chắc để các bác sỹ tuyến cơ sở và người dân hoàn toàn an tâm khi khám, tầm soát sớm các bệnh lý, trong đó có ung thư vú, thông qua những năng lực vượt trội như quy tụ đội ngũ chuyên gia, bác sỹ đầu ngành lĩnh vực Ung bướu, Chẩn đoán hình ảnh, Giải phẫu bệnh, Xét nghiệm (https://medlatec.vn/tin-tuc/xet-nghiem-la-gi-va-cac-loai-xet-nghiem-thuong-dung-nhat-s58-n26445);
Là đơn vị y tế đầu tiên sở hữu dịch vụ xét nghiệm đạt Thương hiệu Quốc gia Việt Nam và tiên phong quản lý chất lượng xét nghiệm bằng hai tiêu chuẩn quốc tế song hành CAP, ISO 15189:2022.
Trung tâm Giải phẫu bệnh ứng dụng công nghệ số hóa và hội chẩn từ xa, có năng lực đáp ứng hơn 150.000 xét nghiệm mỗi năm, bao gồm tế bào học, mô bệnh học, hóa mô miễn dịch và đột biến gen. Thời gian trả kết quả nhanh, kịp thời để phục vụ tối đa nhu cầu chẩn đoán chính xác các bệnh lý u, nghi ngờ u.
![]() |
| Các chuyên gia hội chẩn ca bệnh khó tại Trung tâm Giải phẫu bệnh MEDLATEC |
Mô hình Trung tâm Chẩn đoán hình ảnh “không khoảng cách”, đáp ứng chẩn đoán hình ảnh từ xa, nhanh chóng, chính xác. Hệ thống thiết bị đồng bộ, hiện đại như: máy MRI, CT/MSCT, máy X-quang, máy chụp cắt lớp vi tính, Fibroscan, siêu âm. Mạng lưới rộng khắp toàn quốc với 1 Bệnh viện, 41 Phòng khám tại Việt Nam, 1 Phòng khám tại Campuchia, hơn 100 văn phòng lấy mẫu tận nơi. Nhờ đó, các cơ sở y tế địa phương có thể gửi mẫu nhanh chóng, nhận kết quả chính xác, hỗ trợ bác sỹ lâm sàng ra quyết định kịp thời.
Mọi thông tin chi tiết, người dân vui lòng liên hệ tổng đài MEDLATEC 1900 56 56 56.
Nhằm giúp người dân tiết kiệm tối đa chi phí khi khám chữa bệnh, MEDLATEC triển khai Thẻ 555 với chi phí “đầu tư” chỉ 555.000 VNĐ, người dân có ngay quyền lợi cho 10 thành viên trong gia đình kéo dài trong 1 năm gồm:
Miễn phí 10 lần khám và tư vấn;
Giảm 10% gói khám quản lý sức khỏe cá nhân bởi Bác sỹ gia đình;
Giảm 15% các dịch vụ y tế phát sinh (áp dụng với gần 2.500 danh mục tại viện, tại nhà);
Giảm 15% khi mua gói Bác sỹ gia đình MEDLATEC khám tại nhà hoặc khám tại viện.
Đăng ký mua Thẻ 555 ngay tại đây: https://medlatec.vn/dich-vu/the-555
Xét nghiệm MEDLATEC - Tự hào Thương hiệu Quốc gia Việt Nam
Hệ thống Y tế MEDLATEC:
01 Bệnh viện
41 Phòng khám tại Việt Nam
01 Phòng khám tại Campuchia
Hơn 100 văn phòng lấy mẫu tận nơi
Tổng đài: 1900 56 56 56
Website: medlatec.vn
Email: [email protected] | YouTube: https://youtube.com/@BenhVienDaKhoaMEDLATEC
-
Ngộ độc khí CO nặng do chữa bệnh theo hướng dẫn trên mạng xã hội -
TP.HCM: Tăng cường giám sát y tế tại sân bay Tân Sơn Nhất phòng bệnh do virus Nipah -
Trước nguy cơ virus Nipah xâm nhập, các địa phương chủ động kích hoạt phương án phòng dịch -
Siết chặt quản lý thuốc lá điện tử, không để khoảng trống pháp lý
-
Tăng cơ hội sống cho bệnh nhân ung thư nhờ phối hợp chẩn đoán với MEDLATEC -
Tin mới y tế ngày 28/1: Cẩn trọng tình trạng đau xương khớp khi trời lạnh -
Cảnh báo khẩn loạt sữa trẻ em nghi nhiễm độc tố nguy hiểm -
Bộ Y tế yêu cầu chủ động phòng dịch do virus Nipah ngay từ cửa khẩu -
Thông tin về dịch bệnh do vi rút Nipah và khuyến cáo phòng chống tại Việt Nam -
Hiếm muộn và bài toán công nghệ trong y học hiện đại -
Bộ Y tế thông tin về vi rút Nipah và các biện pháp phòng, chống tại Việt Nam
-
Phát Đạt tài trợ 145 tỷ đồng xây dựng Trường Tiểu học Bình Chuẩn 3 -
Dự án The An Heritage chính thức được cấp "sổ đỏ" cho khách hàng -
SHS vượt 21% kế hoạch lợi nhuận năm 2025, từng bước định hình mô hình tăng trưởng dựa trên “Service Branding” -
Logistics dược phẩm: Xây chuỗi cung ứng lạnh in-house có thực sự tối ưu? -
SeABank điều chỉnh nhiệm vụ nhân sự cấp cao, tập trung đẩy mạnh chuyển đổi mô hình kinh doanh theo chiến lược bán lẻ -
SRT Group - Đối tác chiến lược toàn diện năm 2025 của Sun Group và dấu ấn từ thị trường



