Kháng kháng sinh đang nổi lên như mối đe dọa nghiêm trọng đối với y tế toàn cầu, đặt Việt Nam trước yêu cầu cấp bách phải kiểm soát và sử dụng kháng sinh hiệu quả.
Y tế - Sức khỏe
Tiêm vắc-xin chủ động giúp ngăn ngừa não mô cầu đang lan nhanh
Bệnh não mô cầu từ lâu được xem là một trong những mối đe dọa nghiêm trọng nhất trong nhóm bệnh truyền nhiễm do tốc độ diễn tiến nhanh và khó lường.
TP.HCM bổ sung 4 trạm cấp cứu vệ tinh tại Bình Dương, Bà Rịa - Vũng Tàu
Khánh thành hai bệnh viện trọng điểm chào mừng 80 năm Quốc khánh
Bộ Y tế chỉ đạo khẩn vụ bé 13 tháng tuổi tử vong tại Bệnh viện Đa khoa Tây Ninh
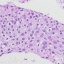
Phát hiện sớm tổn thương tiền ung thư nhờ xét nghiệm mới
Dịch bệnh truyền nhiễm đang gia tăng tại Hà Nội
Tin mới y tế ngày 18/8: Gia tăng các bệnh lý về da ở trẻ trong kỳ nghỉ hè
-
Về nước chữa bệnh: Xu thế mới của Việt kiềuNgành y tế Việt Nam trong những năm qua đã có những bước tiến vượt bậc, không chỉ là niềm tự hào của người dân trong nước mà còn trở thành điểm đến hy vọng của nhiều bệnh nhân quốc tế. -
Tại sao tháng 9 là "thời điểm vàng" để bắt đầu phòng cúm mùa?Tháng 9 được xem là “thời điểm vàng” để khởi động các biện pháp phòng ngừa cúm mùa. Đây là giai đoạn chuyển mùa, khi điều kiện thời tiết thay đổi thuận lợi cho virus cúm phát triển và lây lan nhanh chóng. -
Hướng dẫn mới nhất về khám, chữa bệnh bằng bảo hiểm y tếĐi khám bệnh bằng bảo hiểm y tế là chuyện quen thuộc, nhưng không phải ai cũng hiểu rõ mình cần mang theo giấy tờ gì, quy trình ra sao, và có những trường hợp nào được linh hoạt xử lý. Bộ Y tế vừa ban hành hướng dẫn mới nhất, giúp người dân nắm chắc các tình huống thường gặp và cách xử lý đúng luật. -
Phát động chiến dịch “Du lịch không khói thuốc” tại HuếQuỹ Phòng, chống tác hại của thuốc lá (Bộ Y tế) tổ chức Lễ phát động chiến dịch tăng cường thực hiện môi trường không khói thuốc tại nhà hàng, khách sạn và các địa điểm công cộng ở TP. Huế, mở đầu cho chuỗi hoạt động tại các điểm du lịch trọng điểm, nhằm bảo vệ sức khỏe cộng đồng và xây dựng hình ảnh du lịch văn minh, thân thiện. -
Tin mới y tế ngày 17/8: Viêm phổi nặng do biến chứng cúm ABị viêm phổi nặng do biến chứng cúm A trên nền bệnh hen phế quản, cụ bà 90 tuổi nhập viện trong tình trạng nguy kịch, sốt cao, suy hô hấp, kiệt sức và không thể ăn uống. -
Ung thư ngày càng gia tăng, trẻ hóa và giải pháp từ y học hạt nhânMỗi năm, Việt Nam ghi nhận khoảng 180.000 ca mắc ung thư mới và 122.000 ca tử vong. Đây là con số đáng báo động, phản ánh thực trạng cấp thiết phải có một chiến lược tổng thể và đồng bộ trong chẩn đoán sớm và điều trị trúng đích cho người bệnh. -
Hợp tác Việt Nam-Hàn Quốc trong điều trị ung thư vúTại Việt Nam, ung thư vú là căn bệnh có tỷ lệ mắc cao nhất ở nữ giới với khoảng 24.563 ca mắc mới và trên 10.000 ca tử vong mỗi năm, chiếm hơn 25% các ca ung thư ở phụ nữ. -
Cúm mùa và những biến chứng nguy hiểm không được xem nhẹCúm mùa là bệnh truyền nhiễm do virus cúm gây ra với tốc độ lây lan nhanh và có thể dẫn đến nhiều biến chứng nguy hiểm, thậm chí tử vong nếu không được phát hiện và điều trị kịp thời. -
Tin mới y tế ngày 16/8: Cảnh báo văn bản giả mạo chức năng, nhiệm vụ của y tế cơ sởBộ Y tế cảnh báo xuất hiện văn bản giả mạo liên quan đến chức năng, nhiệm vụ của Trạm Y tế xã, phường, gây hoang mang trong cộng đồng. Người dân và cán bộ y tế cần cảnh giác, kiểm tra kỹ thông tin để tránh bị lợi dụng, ảnh hưởng đến công tác chăm sóc sức khỏe cơ sở. -
Cai nghiện thuốc lá - giải pháp vàng bảo vệ sức khỏe cộng đồngSử dụng thuốc lá là nguyên nhân hàng đầu gây ra hơn 90% các ca ung thư phổi, 75% các ca bệnh phổi tắc nghẽn mạn tính (COPD) và khoảng 25% các trường hợp bệnh tim thiếu máu cục bộ. -
Triển khai đồng bộ giải pháp nâng cao hiệu quả dân số và phát triển trong tình hình mớiPhó thủ tướng Chính phủ Lê Thành Long vừa ký Quyết định số 1745/QĐ-TTg ngày 15/8/2025 của Thủ tướng Chính phủ ban hành kế hoạch thực hiện Kết luận số 149-KL/TW ngày 10/4/2025 của Bộ Chính trị về đẩy mạnh thực hiện Nghị quyết số 21-NQ/TW ngày 25/10/2017 của Hội nghị lần thứ sáu Ban Chấp hành Trung ương Đảng khóa XII về công tác dân số trong tình hình mới.
-
Năng lực tài chính - Yếu tố then chốt của các định chế tài chính trong năm 2025 -
Oky Sài Gòn khởi công dự án nhà ở xã hội quy mô 282 căn tại Đồng Nai -
Ký kết hợp đồng tín dụng 265 tỷ đồng cho Dự án Bệnh viện Medic Hải Tiến giai đoạn 2 -
Trải nghiệm dịch vụ ô tô “chuẩn Nhật Bản” ngay tại Hà Nội -
Ngân hàng Hong Leong đồng hành cùng giấc mơ khởi nghiệp của hàng triệu hộ kinh doanh Việt -
Dấu ấn See The Light: Kết nối 40.000 tri âm bằng xúc cảm