-
Tin mới y tế ngày 10/5: Cập nhật xu hướng điều trị ung thư hiện đại -
Bộ Y tế khuyến cáo phòng bệnh do virus Hanta -
Khoảng 5-25% người khỏe mạnh có thể mang não mô cầu mà không biết -
Tin mới y tế ngày 9/5: Trẻ dưới 6 tuổi sẽ được khám định kỳ hằng năm, có tầm soát nguy cơ tự kỷ -
Người đàn ông phát hiện mắc viêm gan B mạn tính và xơ hóa gan khi kiểm tra sức khỏe định kỳ tại MEDLATEC -
Ðại diện Việt Nam 2 năm liên tiếp thắng lớn tại Healthcare Asia Pharma Awards
Nhờ được chẩn đoán sớm và điều trị kịp thời, người bệnh đã hồi phục hoàn toàn, tránh được những biến chứng nặng nề có thể đe dọa tính mạng.
Bệnh nhân N.V.B (60 tuổi, Hà Nội) nhập viện tại Bệnh viện Đa khoa MEDLATEC trong tình trạng sốt cao, mệt mỏi kéo dài. Trước đó khoảng 4 ngày, người bệnh xuất hiện đau đầu, chóng mặt, mệt lả toàn thân và ho khan. Dù có biểu hiện sốt nhưng bệnh nhân không đo nhiệt độ, các triệu chứng không thuyên giảm nên được gia đình đưa đi khám.
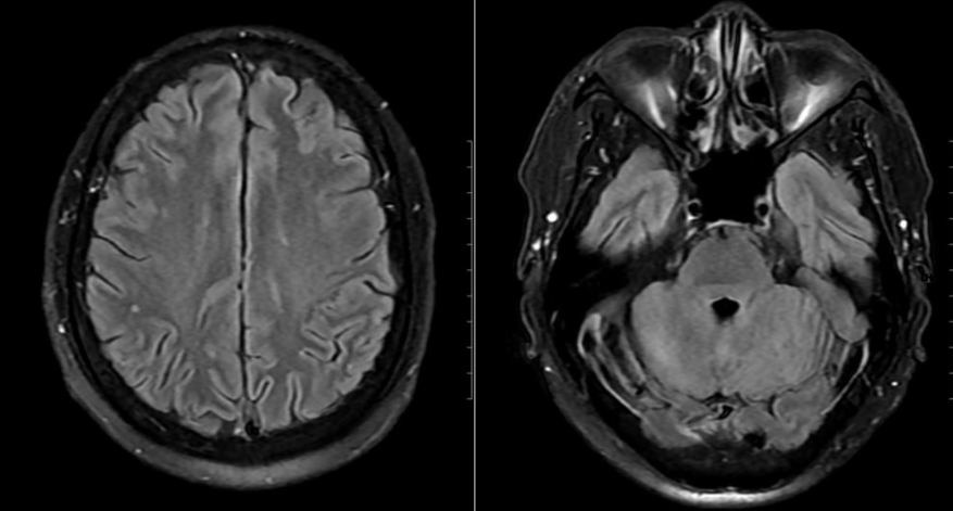
![]() |
| Phim chụp của bệnh nhân. |
Khai thác bệnh sử cho thấy bệnh nhân có tiền sử tăng huyết áp đang điều trị ổn định. Đáng chú ý, khi hỏi kỹ yếu tố dịch tễ, các bác sỹ ghi nhận người bệnh có thói quen ăn tiết canh. Đây là chi tiết quan trọng giúp định hướng nguyên nhân gây bệnh.
Trước nghi ngờ nhiễm khuẩn huyết, bệnh nhân được chỉ định thực hiện hàng loạt xét nghiệm chuyên sâu. Kết quả cấy máu cho thấy dương tính với vi khuẩn Streptococcus suis, tác nhân gây bệnh liên cầu lợn nguy hiểm ở người.
Mặc dù chưa có biểu hiện thần kinh rõ ràng, bệnh nhân vẫn được chọc dò dịch não tủy để loại trừ biến chứng. Kết quả ghi nhận dịch não tủy tăng tế bào và protein, phản ứng Pandy dương tính, xác định viêm não, màng não. Hình ảnh MRI sọ não còn phát hiện ổ tổn thương nhỏ tại thùy chẩm trái.
Từ các dữ liệu lâm sàng và cận lâm sàng, bệnh nhân được chẩn đoán nhiễm khuẩn huyết, viêm não màng não do liên cầu lợn. Ngay khi nhập viện, người bệnh được điều trị kháng sinh đường tĩnh mạch và hiệu chỉnh theo kháng sinh đồ, đồng thời theo dõi sát tình trạng toàn thân và thần kinh.
Sau 24 giờ, bệnh nhân cắt sốt, thể trạng cải thiện rõ rệt. Sau 15 ngày điều trị tích cực, các xét nghiệm và hình ảnh học cho thấy tổn thương đã hồi phục hoàn toàn, bệnh nhân xuất viện trong tình trạng ổn định, không để lại di chứng thần kinh.
Theo BSCKI Hồ Mạnh Linh, Trưởng Khoa Nội, Bệnh viện Đa khoa MEDLATEC, tiết canh là nguồn lây nhiễm nguy hiểm của nhiều vi khuẩn và ký sinh trùng, trong đó đáng lo ngại nhất là vi khuẩn liên cầu lợn.
Vi khuẩn này tồn tại trong máu, đường hô hấp và đường tiêu hóa của lợn, kể cả những con trông khỏe mạnh. Khi con người ăn tiết canh hoặc thịt lợn chưa được nấu chín kỹ, vi khuẩn có thể xâm nhập trực tiếp vào cơ thể qua đường tiêu hóa hoặc qua các vết trầy xước ở niêm mạc.
Nhiễm liên cầu lợn ở người có thể gây nhiễm khuẩn huyết, sốc nhiễm trùng, suy đa cơ quan, viêm não, màng não, để lại di chứng thần kinh trung ương hoặc tử vong nhanh chóng nếu điều trị muộn. Điều đáng lo ngại là bệnh thường khởi phát âm thầm, với các triệu chứng không đặc hiệu như sốt, mệt mỏi, đau đầu, buồn nôn, khiến nhiều người chủ quan và nhập viện khi bệnh đã tiến triển nặng.
Theo bác sỹ Linh, mỗi dịp đầu năm hay ngày Tết, không ít người vẫn truyền tai nhau quan niệm “làm tí cho đỏ”, coi việc ăn tiết canh là lấy may. Tuy nhiên, đây là quan niệm phản khoa học và tiềm ẩn rủi ro sức khỏe nghiêm trọng. Ăn tiết canh tuyệt đối không an toàn, kể cả khi lợn được cho là khỏe mạnh hoặc có nguồn gốc rõ ràng.
Ngoài nguy cơ nhiễm vi khuẩn liên cầu lợn, tiết canh còn có thể là nguồn lây nhiều loại giun sán và ký sinh trùng nguy hiểm như sán dây, giun xoắn, sán lá, gây tổn thương gan, não, cơ tim và để lại hậu quả lâu dài.
Đáng lưu ý, việc dùng rượu, chanh hay gia vị cay không có tác dụng tiêu diệt vi khuẩn hay ký sinh trùng trong tiết canh. Đặc biệt trong dịp Tết là thời điểm các bữa ăn sum họp, liên hoan diễn ra thường xuyên sẽ có nguy cơ nhiễm bệnh từ thực phẩm sống, tái càng gia tăng.
Các bác sỹ khuyến cáo người dân tuyệt đối không ăn tiết canh, không sử dụng thịt lợn sống hoặc tái; thực hiện nguyên tắc ăn chín uống sôi, lựa chọn thực phẩm có nguồn gốc rõ ràng.
Khi xuất hiện các triệu chứng như sốt cao, đau đầu, mệt mỏi kéo dài, đặc biệt nếu có tiền sử ăn tiết canh hoặc tiếp xúc với lợn, cần đi khám ngay để được chẩn đoán và điều trị kịp thời. Phát hiện sớm và can thiệp đúng lúc là yếu tố then chốt giúp cứu sống người bệnh và hạn chế tối đa các biến chứng nguy hiểm.
-
Người đàn ông phát hiện mắc viêm gan B mạn tính và xơ hóa gan khi kiểm tra sức khỏe định kỳ tại MEDLATEC -
Ðại diện Việt Nam 2 năm liên tiếp thắng lớn tại Healthcare Asia Pharma Awards -
Hoại tử, áp xe môi sau tiêm tan filler tại cơ sở làm đẹp không phép -
Chấm dứt cơn đau vai suốt 10 năm nhờ liệu pháp sinh học hiện đại -
Đề xuất thống nhất một đầu mối quản lý an toàn thực phẩm toàn quốc -
Tin mới y tế ngày 8/5: Phẫu thuật thành công ca động kinh kháng thuốc nhờ công nghệ ECoG -
Bác sỹ của những "đường mổ vô hình" và giấc mơ y học Việt Nam
-
1
Cả nước khởi công 40 dự án, cung cấp hơn 36.000 căn nhà ở xã hội -
2
TP.HCM sắp khởi công cầu hầm Cần Giờ-Vũng Tàu; Ninh Bình dồn lực cho hạ tầng giao thông 19.000 tỷ đồng -
3
Đề xuất đẩy nhanh tiến độ phê duyệt quy hoạch chi tiết Cảng hàng không Lai Châu -
4
Moody’s nâng triển vọng của Việt Nam lên “Tích cực” và khẳng định xếp hạng tín nhiệm Ba2
-
Đầu tư phòng thí nghiệm dược: Khi thiết bị chưa đủ để tạo hiệu quả -
CARA Lighting phát triển giải pháp chiếu sáng gắn với sức khỏe và trải nghiệm -
VSIP ký kết hợp tác phân phối dự án Sun Casa Square và triển khai chuỗi tiện ích -
Acecook Việt Nam khởi động dự án trồng 10.500 cây xanh tại tỉnh Quảng Trị - “Gieo mầm hạnh phúc - phủ xanh tương lai” -
Giao lưu nhân dân tại Đồng Nai chào mừng 50 năm quan hệ Việt Nam - Thái Lan -
CEO Anh Tuấn và Untra Group - Kiến tạo hệ sinh thái ESG cho doanh nghiệp Việt

