-
Virus Hanta và cảnh báo phòng dịch từ sớm tại Việt Nam -
Liên tiếp trẻ bị chó cắn phải nhập viện, cảnh báo nguy cơ bệnh dại bùng phát -
Tin mới y tế ngày 10/5: Cập nhật xu hướng điều trị ung thư hiện đại -
Bộ Y tế khuyến cáo phòng bệnh do virus Hanta -
Khoảng 5-25% người khỏe mạnh có thể mang não mô cầu mà không biết -
Tin mới y tế ngày 9/5: Trẻ dưới 6 tuổi sẽ được khám định kỳ hằng năm, có tầm soát nguy cơ tự kỷ
Chỉ đến khi xuất hiện khối bất thường ở vùng ngực, người phụ nữ 41 tuổi mới đi khám và bất ngờ được chẩn đoán mắc ung thư ngay trong lần kiểm tra đầu tiên. Trường hợp này tiếp tục gióng lên hồi chuông cảnh báo về thói quen bỏ qua tầm soát định kỳ của nhiều phụ nữ.
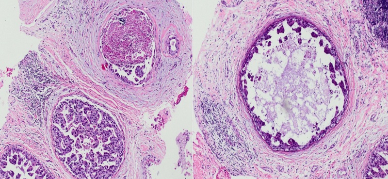
![]() |
| Hình ảnh giải phẫu bệnh cho thấy phù hợp với ung thư biểu mô ống tại chỗ. |
Chị N.T.T. (41 tuổi, Hà Nội) đến Phòng khám Đa khoa MEDLATEC Tây Hồ thăm khám khi nhận thấy xuất hiện khối ở vùng ngực phải kèm cảm giác đau tức nhẹ. Khoảng một tháng trước đó, chị đã phát hiện dấu hiệu này nhưng chưa đi kiểm tra.
Khai thác tiền sử ghi nhận bệnh nhân chưa từng đi khám hay siêu âm tuyến vú trước đây. Chị đã sinh hai con và trong gia đình không ghi nhận trường hợp mắc ung thư vùng ngực.
Thăm khám lâm sàng cho thấy bệnh nhân tỉnh táo, các chỉ số sinh tồn ổn định. Tuy nhiên, tại vùng ngực phải, vị trí khoảng 8 giờ sát núm vú, bác sỹ sờ thấy khối kích thước khoảng 2x4 cm, mật độ chắc, ranh giới không rõ, di động kém, ấn đau nhẹ. Hai bên nách ghi nhận hạch kích thước khoảng 1 cm, mật độ mềm, ranh giới rõ, di động và không đau.
Kết quả siêu âm tuyến vú phát hiện đám giảm âm kèm giãn ống tuyến vú phải, được phân loại BIRADS 4, mức độ nghi ngờ tổn thương ác tính. Chụp X quang tuyến vú tiếp tục ghi nhận nốt vôi hóa tập trung thành đám tại vú phải, phân loại BIRADS 4B.
Để xác định bản chất tổn thương, bệnh nhân được chỉ định sinh thiết. Kết quả mô bệnh học cho thấy hình ảnh phù hợp với ung thư biểu mô ống tại chỗ. Dựa trên các kết quả này, bác sỹ chẩn đoán bệnh nhân mắc ung thư vùng ngực phải và tư vấn điều trị theo tuyến chuyên khoa nhằm can thiệp kịp thời.
Theo BSCKI Đoàn Như Hoa, Phòng Lâm sàng, Phòng khám Đa khoa MEDLATEC Tây Hồ, ung thư vùng ngực là bệnh lý phổ biến nhưng thường diễn tiến âm thầm trong giai đoạn đầu. Nhiều bệnh nhân hầu như không có triệu chứng rõ ràng, các dấu hiệu như xuất hiện khối bất thường, thay đổi da hay chảy dịch núm vú thường chỉ xuất hiện khi bệnh đã tiến triển.
Số liệu Globocan năm 2022 cho thấy Việt Nam ghi nhận 24.563 ca mắc mới và hơn 10.008 ca tử vong do ung thư vùng ngực, chiếm 13,6% tổng số ca ung thư và gần 28,9% các ca ung thư ở nữ giới.
Tuy nhiên, bệnh có tiên lượng điều trị rất tốt nếu được phát hiện sớm. Nhờ các phương tiện chẩn đoán như siêu âm và chụp X quang tuyến vú, nhiều tổn thương có thể được phát hiện ngay cả khi chưa sờ thấy khối.
Các bác sỹ khuyến cáo phụ nữ cần chủ động tầm soát theo độ tuổi và yếu tố nguy cơ. Phụ nữ từ 20 đến 39 tuổi nên khám chuyên khoa khoảng 3 năm một lần và siêu âm tuyến vú hàng năm. Từ 40 tuổi trở lên, nên chụp nhũ ảnh định kỳ 1 đến 2 năm một lần kết hợp siêu âm để nâng cao khả năng phát hiện sớm.
Đối với nhóm nguy cơ cao như người mang đột biến gen hoặc có người thân mắc bệnh, việc tầm soát nên thực hiện sớm hơn, từ khoảng 35 tuổi và kết hợp nhiều phương pháp để phát hiện bệnh ở giai đoạn sớm nhất.
Từ trường hợp này, các chuyên gia nhấn mạnh điều đáng lo ngại không phải là bệnh, mà là việc nhiều phụ nữ vẫn chưa có thói quen tầm soát định kỳ. Khi cơ thể đã xuất hiện dấu hiệu rõ ràng, bệnh có thể đã tiến triển, làm giảm cơ hội điều trị tối ưu.
-
Khoảng 5-25% người khỏe mạnh có thể mang não mô cầu mà không biết -
Tin mới y tế ngày 9/5: Trẻ dưới 6 tuổi sẽ được khám định kỳ hằng năm, có tầm soát nguy cơ tự kỷ -
Người đàn ông phát hiện mắc viêm gan B mạn tính và xơ hóa gan khi kiểm tra sức khỏe định kỳ tại MEDLATEC -
Ðại diện Việt Nam 2 năm liên tiếp thắng lớn tại Healthcare Asia Pharma Awards -
Hoại tử, áp xe môi sau tiêm tan filler tại cơ sở làm đẹp không phép -
Chấm dứt cơn đau vai suốt 10 năm nhờ liệu pháp sinh học hiện đại -
Đề xuất thống nhất một đầu mối quản lý an toàn thực phẩm toàn quốc
-
Diamond Hill Thái Nguyên khai trương tầng thực tế, hiện thực hóa chuẩn sống cao cấp giữa trung tâm thành phố -
Đầu tư phòng thí nghiệm dược: Khi thiết bị chưa đủ để tạo hiệu quả -
CARA Lighting phát triển giải pháp chiếu sáng gắn với sức khỏe và trải nghiệm -
VSIP ký kết hợp tác phân phối dự án Sun Casa Square và triển khai chuỗi tiện ích -
Acecook Việt Nam khởi động dự án trồng 10.500 cây xanh tại tỉnh Quảng Trị - “Gieo mầm hạnh phúc - phủ xanh tương lai” -
Giao lưu nhân dân tại Đồng Nai chào mừng 50 năm quan hệ Việt Nam - Thái Lan

