Bộ Y tế đã triển khai các đoàn kiểm tra đột xuất tại Hà Nội và Ninh Bình nhằm siết chặt quản lý, ngăn chặn thực phẩm bẩn ngay từ nguồn.
Y tế - Sức khỏe
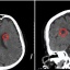
Số ca bệnh do não mô cầu tăng mạnh, cảnh báo nguy cơ tử vong cao
Số ca mắc bệnh do não mô cầu xâm lấn đang có xu hướng tăng trở lại tại nhiều địa phương, diễn tiến nhanh, dễ nhầm với cảm cúm và tiềm ẩn nguy cơ tử vong cùng di chứng nặng nề.
Đau vai âm ỉ kéo dài, dấu hiệu bệnh viêm gân vôi hóa
Thẩm mỹ Zacy ở Hà Nội bị phạt 135 triệu đồng, buộc thu hồi nhiều sản phẩm vi phạm
Cẩn trọng bệnh tai mũi họng biến chứng trong mùa lạnh
Tin mới y tế ngày 27/12: Hai loại vắc-xin sẽ được tiêm miễn phí cho trẻ từ năm 2026
Hiểu biết về vắc-xin được lan tỏa qua cuộc thi trực tuyến về tiêm chủng
-
Dân số Việt Nam bước vào thời kỳ già hóa nhanhTheo dự báo dân số Việt Nam giai đoạn 2024-2074 do Cục Thống kê công bố mới đây, đến năm 2049, Việt Nam được dự báo sẽ thiếu khoảng 1,3 triệu phụ nữ trong độ tuổi kết hôn, kéo theo nhiều hệ lụy xã hội. -
Thí điểm vận chuyển mẫu bệnh phẩm, thuốc bằng thiết bị bay không người láiBệnh viện Đa khoa Đức Giang phối hợp với Tổng công ty Bưu điện Việt Nam (Vietnam Post) chính thức khai trương mô hình thí điểm ứng dụng thiết bị bay không người lái (UAV) trong vận chuyển mẫu bệnh phẩm, thuốc và vật tư y tế lần đầu tiên được triển khai tại Việt Nam. -
Lập 4 đoàn kiểm tra an toàn thực phẩm Tết Bính Ngọ tại 8 tỉnh, thành phốBộ trưởng Bộ Y tế Đào Hồng Lan, Phó Trưởng Ban Thường trực Ban Chỉ đạo liên ngành Trung ương về an toàn thực phẩm vừa ký ban hành Kế hoạch triển khai công tác bảo đảm an toàn thực phẩm Tết Nguyên đán Bính Ngọ và mùa Lễ hội Xuân 2026. -
Tin mới y tế ngày 26/12: Đồng nhiễm viêm gan B và D làm tăng nguy cơ ung thư ganMột bệnh nhân nữ 65 tuổi tại TP.HCM, mắc viêm gan B mạn tính, vừa được phát hiện đồng nhiễm viêm gan D và ung thư gan giai đoạn sớm. Các bác sỹ cảnh báo tình trạng đồng nhiễm hai loại virus này có thể thúc đẩy nhanh quá trình tiến triển sang xơ gan và ung thư gan. -
Chuyển đổi số y tế từ triển khai bệnh án điện tửViệc triển khai bệnh án điện tử đang trở thành nền tảng cốt lõi trong tiến trình chuyển đổi số y tế, giúp các bệnh viện rút ngắn thời gian chẩn đoán, nâng cao hiệu quả điều trị, tối ưu vận hành và từng bước bảo đảm an toàn, bảo mật dữ liệu người bệnh. -
Khàn giọng, hụt hơi: Cảnh báo nguy cơ mắc bệnh lý dây thanh quảnKhàn tiếng, hụt hơi kéo dài tưởng chừng chỉ là biểu hiện mệt mỏi thông thường, nhưng với nhiều người làm nghề sử dụng giọng nói, đó có thể là dấu hiệu cảnh báo của những bệnh lý nguy hiểm, thậm chí đe dọa trực tiếp sinh kế. -
Cúm không đơn thuần là “cảm lạnh”Dịp cuối năm ghi nhận số ca cúm mùa gia tăng nhanh tại nhiều địa phương. Chuyên gia y tế cảnh báo, cúm không đơn thuần là cảm lạnh và có thể gây biến chứng nặng nếu chủ quan. -
Vinmec Central Park: 10 năm tiên phong chuẩn quốc tế, mở lối cho y học dựa trên giá trịNgày 26/12/2015, Vinmec Central Park chính thức mở cửa đón những bệnh nhân đầu tiên. Sau 10 năm, Vinmec Central Park đã khẳng định được vị thế của một “bệnh viện quốc tế” đúng nghĩa ngay tại TP.HCM và liên tiếp chinh phục những giới hạn mới. -
Thuốc thế hệ mới và bước ngoặt điều trị ung thưThuốc điều trị đích thế hệ mới và liệu pháp miễn dịch đang tạo ra những thay đổi căn bản trong cục diện điều trị ung thư tại Việt Nam. -
Tin mới y tế ngày 25/12: Bảo vệ trẻ nhỏ trước RSV mùa cao điểm với kháng thể đơn dòngKháng thể đơn dòng phòng RSV được ra mắt tại Việt Nam mở ra cơ hội bảo vệ trẻ nhỏ trước nguy cơ viêm phổi, viêm tiểu phế quản do virus hợp bào hô hấp (RSV), căn bệnh hô hấp phổ biến và nguy hiểm ở trẻ sơ sinh và trẻ nhỏ. -
Vinh danh “Khách sạn tiêu biểu không thuốc lá”Ngày 24/12, tại Hà Nội, Báo Văn hóa phối hợp cùng Quỹ Phòng, chống tác hại của thuốc lá (Bộ Y tế) tổ chức Lễ vinh danh “Khách sạn tiêu biểu không thuốc lá” lần thứ I, năm 2025. -
Chia sẻ rủi ro y tế giảm chi “tiền túi” cho người bệnhTrong bối cảnh chi phí thuốc điều trị ngày càng gia tăng, giải pháp chia sẻ rủi ro được kỳ vọng giúp giảm chi “tiền túi” cho người bệnh, đồng thời mở rộng khả năng tiếp cận thuốc phát minh và bảo đảm tính bền vững của hệ thống y tế.
-
Người âm thầm đưa Nesty đến gần trái tim khách hàng -
TKV hoàn thành vượt mức kế hoạch sản xuất, tiêu thụ than quý I/2026 -
Cập nhật giá đơn vị Quỹ liên kết đơn vị của AIA Việt Nam ngày 1/4/2026 -
ROBA Coffee - Dẫn đầu hành trình kết nối những giá trị cà phê chất lượng nhất -
Phú Bình Thái Nguyên - Điểm sáng công nghiệp hút dòng tiền bất động sản 2026 -
Đồng hành chắp cánh nuôi dưỡng ước mơ học sinh nghèo