-
Virus Hanta và cảnh báo phòng dịch từ sớm tại Việt Nam -
Liên tiếp trẻ bị chó cắn phải nhập viện, cảnh báo nguy cơ bệnh dại bùng phát -
Tin mới y tế ngày 10/5: Cập nhật xu hướng điều trị ung thư hiện đại -
Bộ Y tế khuyến cáo phòng bệnh do virus Hanta -
Khoảng 5-25% người khỏe mạnh có thể mang não mô cầu mà không biết -
Tin mới y tế ngày 9/5: Trẻ dưới 6 tuổi sẽ được khám định kỳ hằng năm, có tầm soát nguy cơ tự kỷ
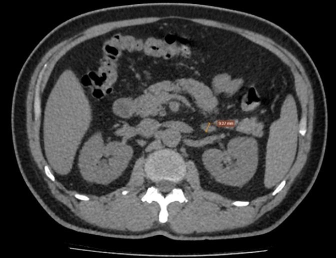
Kiểm tra tăng huyết áp định kỳ, người đàn ông phát hiện mắc hội chứng Conn
Bệnh nhân cho biết ông được phát hiện tăng huyết áp và rối loạn lipid máu từ năm 2019, điều trị thường xuyên. Từ năm 2023, kết quả xét nghiệm nhiều lần cho thấy kali máu thấp (3,2-3,3 mmol/L) nhưng chưa được thăm dò chuyên sâu.
Khi tái khám tại MEDLATEC, chỉ số huyết áp của bệnh nhân là 160/110 mmHg, mạch 71 lần/phút, BMI 27,1 kg/m² (béo phì độ I). Kết quả xét nghiệm tiếp tục ghi nhận kali máu giảm còn 2,94 mmol/L.
![]() |
| Phim chụp của bệnh nhân. |
Nhận thấy bất thường, bác sỹ đã điều chỉnh thuốc hạ huyết áp sang loại ít ảnh hưởng đến kết quả xét nghiệm, sau đó tiến hành các thăm dò chuyên sâu.
Kết quả cho thấy kali niệu tăng cao (100 mmol/24h), chênh áp kali qua ống thận tăng (11,5), aldosterone máu tư thế nằm tăng (29 ng/dl), renin giảm (1,9 mcUI/ml), trong khi cortisol, ACTH, hormon tuyến giáp, calci và magie đều trong giới hạn bình thường. Các chỉ số này hướng đến chẩn đoán cường aldosterone nguyên phát.
Chụp cắt lớp vi tính tuyến thượng thận phát hiện tuyến thượng thận trái tăng kích thước, bề dày lớn nhất khoảng 13 mm nhưng không thấy khối rõ ràng, gợi ý tăng sản tuyến thượng thận trái. Dựa trên lâm sàng, xét nghiệm và hình ảnh học, bệnh nhân được chẩn đoán xác định hội chứng Conn do tăng sản tuyến thượng thận trái.
Theo bác sỹ chuyên khoa Nội tiết MEDLATEC, cường aldosterone nguyên phát là tình trạng tuyến thượng thận tiết aldosterone quá mức và không phụ thuộc vào renin, khác với cường aldosterone thứ phát, vốn tăng tiết do đáp ứng với giảm thể tích tuần hoàn. Nguyên nhân thường gặp gồm u tuyến thượng thận, tăng sản tuyến thượng thận một hoặc hai bên, hiếm hơn là ung thư hoặc yếu tố di truyền.
Quy trình chẩn đoán bệnh gồm các bước: sàng lọc bằng xét nghiệm aldosterone - renin; xác định bằng các test ức chế như test truyền muối, nạp natri đường uống hoặc fludrocortisone; và tìm nguyên nhân bằng chụp CT/MRI hoặc lấy máu tĩnh mạch thượng thận (AVS).
Điều trị nhằm kiểm soát huyết áp, ngăn biến chứng tim mạch, thận và phòng ngừa rối loạn nhịp do hạ kali. Nếu AVS cho kết quả tăng tiết một bên, người bệnh có thể được chỉ định phẫu thuật cắt tuyến thượng thận; nếu tăng tiết hai bên hoặc không có chỉ định phẫu thuật, bệnh nhân sẽ điều trị nội khoa lâu dài bằng thuốc đối kháng thụ thể mineralocorticoid.
Trường hợp bệnh nhân này cho thấy tăng huyết áp kèm hạ kali máu kéo dài là dấu hiệu quan trọng nhưng dễ bị bỏ sót.
Theo khuyến cáo, người bệnh cần đi khám khi tăng huyết áp khó kiểm soát, hạ kali máu không rõ nguyên nhân, tăng huyết áp ở người trẻ dưới 30 tuổi hoặc khi tăng huyết áp mới xuất hiện nhưng đã gây tổn thương cơ quan đích.
Việc khai thác tiền sử, theo dõi định kỳ và làm xét nghiệm nội tiết chuyên sâu có vai trò quyết định trong phát hiện sớm các bệnh lý tuyến thượng thận.
Cường aldosterone nguyên phát nếu được chẩn đoán sớm hoàn toàn có thể điều trị khỏi bằng phẫu thuật trong trường hợp tăng tiết một bên, hoặc được kiểm soát tốt bằng thuốc nếu điều trị nội khoa, giúp cải thiện tiên lượng và chất lượng cuộc sống cho người bệnh.
Căng thẳng âm thầm “đẩy” hàng triệu người vào nguy cơ tiểu đường
Căng thẳng, lo âu và trầm cảm đang trở thành gánh nặng lớn đối với người mắc tiểu đường. Theo Liên đoàn Đái tháo đường Quốc tế (IDF), có tới 77% người bệnh phải đối mặt với các vấn đề tâm lý như lo âu, trầm cảm hoặc stress kéo dài; trong khi số liệu của Bộ Y tế cho thấy trầm cảm làm tăng 37% nguy cơ khởi phát tiểu đường type 2.
Ở chiều ngược lại, người mắc tiểu đường lại có nguy cơ trầm cảm cao gấp ba lần người khỏe mạnh, đặc biệt ở nhóm đã có biến chứng, khiến nguy cơ tử vong tăng đến năm lần. Những bệnh nhân lớn tuổi hoặc mắc tiểu đường type 2 kèm biến chứng là nhóm chịu tác động nặng nề nhất.
BS.CKI Phạm Thị Thu Hà, Trưởng Đơn vị Bàn chân, Đái tháo đường, Khoa Nội tiết - Đái tháo đường, Bệnh viện Đa khoa Tâm Anh TP.HCM cho biết, khi đối diện với bệnh mạn tính như tiểu đường, người bệnh rất dễ xuất hiện cảm giác lo lắng, căng thẳng, mệt mỏi và thậm chí tuyệt vọng.
Các yếu tố này khiến họ giảm khả năng tự quản lý bệnh và rơi vào vòng xoắn bệnh lý “tiểu đường, trầm cảm”. Nghiên cứu cho thấy nguy cơ trầm cảm ở người mắc tiểu đường cao gấp đôi, nguy cơ lo âu cao hơn 20-30% so với người không mắc bệnh; đồng thời hơn 40% bệnh nhân ghi nhận tình trạng “stress do tiểu đường”, tức cảm giác quá tải khi phải điều trị liên tục.
Tại Bệnh viện Đa khoa Tâm Anh TP.HCM, ghi nhận hơn 50% bệnh nhân tiểu đường đến khám có biểu hiện lo âu, căng thẳng hoặc trầm cảm như mất ngủ kéo dài, buồn bã, thu mình, hạn chế giao tiếp hoặc muốn bỏ điều trị.
Theo bác sỹ Hà, mối quan hệ giữa tiểu đường và sức khỏe tinh thần mang tính hai chiều: khi căng thẳng hoặc trầm cảm, người bệnh thường bỏ thuốc, ăn uống thất thường, ít kiểm tra đường huyết, khiến chỉ số HbA1c tăng cao và nguy cơ biến chứng tim mạch, mạch máu, thần kinh tăng mạnh; ngược lại, khi bệnh tiến triển nặng gây biến chứng, người bệnh lại càng dễ mất động lực điều trị và rơi vào cảm giác bất lực.
Một trường hợp điển hình là bà Tính, 68 tuổi (Tây Ninh), mắc tiểu đường 16 năm và nhập Bệnh viện Đa khoa Tâm Anh TP.HCM trong tình trạng hoại tử bàn chân phải.
Các ngón chân chuyển tím đen, nhiễm trùng lan đến cổ chân, sốt cao, đường huyết gấp bốn lần và chỉ số HbA1c gần gấp đôi bình thường. Vết loét ban đầu chỉ là một vết xước nhỏ xuất hiện khoảng 10 ngày trước nhập viện, nhưng do bà chủ quan, không chăm sóc đúng cách, tình trạng nhanh chóng chuyển biến nặng.
Người nhà cho biết những năm gần đây bà thường xuyên lo âu, sợ hãi, ít nói, thu mình, không còn chăm sóc bản thân, thậm chí bỏ thuốc hoặc ăn uống buông thả. Sau khi được bác sỹ tư vấn khám chuyên khoa tâm lý, bà được chẩn đoán trầm cảm.
Theo bác sỹ Hà, việc không tuân thủ điều trị do trầm cảm khiến đường huyết mất kiểm soát, vết loét tiến triển nhanh dẫn đến hoại tử ba ngón chân buộc phải tháo khớp. Hiện bà được điều trị tích cực để ổn định đường huyết, huyết áp, kết hợp điều trị trầm cảm và được hướng dẫn hỗ trợ tinh thần từ gia đình, đặc biệt sau phẫu thuật.
Người bệnh tiểu đường nếu kèm trầm cảm thường ít vận động, dễ hút thuốc lá, có thói quen ăn uống kém lành mạnh và tuân thủ điều trị thấp, khiến nguy cơ biến chứng nặng gia tăng.
Đáng lo ngại, hơn 50% trường hợp trầm cảm ở bệnh nhân tiểu đường không được chẩn đoán do các triệu chứng mơ hồ như mệt mỏi, rối loạn giấc ngủ, thay đổi cảm giác ngon miệng hoặc tăng giảm cân một cách bất thường. Ngoài trầm cảm, tỷ lệ rối loạn lo âu và rối loạn ăn uống ở bệnh nhân tiểu đường cũng cao hơn đáng kể so với người bình thường.
Theo bác sỹ Hà, việc sàng lọc sớm các vấn đề sức khỏe tinh thần và điều trị kịp thời đóng vai trò quan trọng trong quản lý tiểu đường. Sức khỏe tâm lý ổn định giúp người bệnh duy trì niềm tin, khả năng thích ứng với bệnh, tuân thủ điều trị tốt hơn, từ đó giảm biến chứng và nâng cao chất lượng cuộc sống.
Tưởng mệt do làm việc nặng, hóa ra hẹp nặng van tim vì thấp tim
Bà Nương (61 tuổi) nhập viện trong tình trạng hẹp nặng van động mạch chủ và van hai lá do biến chứng thấp tim kéo dài nhưng không được phát hiện. Tổn thương đa van khiến buồng tim giãn lớn, hình thành huyết khối và gây rung nhĩ.
Suốt nhiều năm lao động chân tay, bà Nương thường xuyên làm việc gắng sức nhưng chỉ thỉnh thoảng cảm thấy mệt rồi nhanh chóng hồi phục nên chủ quan. Vài tháng gần đây, bà bắt đầu hụt hơi, thở dốc dù công việc không thay đổi.
Khi đi khám tại bệnh viện tuyến tỉnh, bác sỹ phát hiện hẹp nhiều van tim và chuyển bà đến bệnh viện đa khoa để điều trị chuyên sâu.
ThS.BS.CKII Huỳnh Hoàng Khang, Trưởng khoa Ngoại tim mạch, Trung tâm Tim mạch Can thiệp, cho biết người bệnh bị hẹp khít hai lá van, vôi hóa nặng và đã xuất hiện rung nhĩ.
Hẹp van tim là tình trạng các lá van dày, cứng hoặc dính vào nhau khiến van không mở hoàn toàn. Hậu quả là tim phải tăng áp lực để bơm máu qua khe van hẹp, lâu dài gây suy tim, rối loạn nhịp, thậm chí tử vong.
Ở trường hợp của bà Nương, vì quen với cường độ lao động cao nên bệnh nhân khó nhận ra triệu chứng sớm. Chỉ đến khi khả năng gắng sức giảm rõ rệt, bà mới đi khám thì bệnh đã tiến triển nặng. Các bác sỹ ghi nhận nhĩ trái giãn lớn và có huyết khối rải rác, yếu tố nguy cơ cao dẫn đến đột quỵ hoặc thuyên tắc phổi.
Theo bác sỹ Khang, hẹp đa van kèm vôi hóa nặng là biểu hiện điển hình của bệnh van tim hậu thấp. Bệnh thường xuất hiện sau các đợt nhiễm khuẩn hầu họng từ 2-3 tuần.
Khi đó, cơ thể sản sinh kháng thể chống lại vi khuẩn, nhưng cấu trúc van tim tương đồng với vi khuẩn khiến kháng thể “nhầm lẫn”, tấn công luôn van tim. Lâu dần, van trở nên dày, cứng, dính và lắng đọng canxi, dẫn đến hẹp hoặc hở van.
Ê kíp phẫu thuật đã cắt bỏ hai lá van tổn thương, thay bằng van sinh học và khâu bít tiểu nhĩ trái để giảm nguy cơ huyết khối. Sau phẫu thuật, van nhân tạo hoạt động tốt, bệnh nhân cải thiện rõ rệt tình trạng hụt hơi, khó thở và có thể vận động nhẹ nhàng. Sau 5 ngày theo dõi nội trú, bà Nương được xuất viện và trở lại sinh hoạt bình thường.
Bác sỹ Khang cho biết, bệnh van tim hậu thấp thường khởi phát từ tuổi thiếu niên với biểu hiện sốt, viêm họng, đau khớp. Nhiều trẻ em và thanh thiếu niên nhiễm liên cầu khuẩn nhưng không được điều trị đúng cách có nguy cơ cao mắc bệnh mà không hay biết. Tổn thương van tim diễn tiến âm thầm trong nhiều năm, đến khi xuất hiện triệu chứng thì bệnh thường đã nặng.
Các dấu hiệu cảnh báo bệnh gồm khó thở tăng dần, đặc biệt khi gắng sức, leo cầu thang; hồi hộp, tim đập nhanh; cảm giác choáng váng; phù chân; trẻ thì mau mệt và chậm phát triển.
Để phòng bệnh, người dân cần giữ ấm cơ thể, vệ sinh hầu họng, điều trị sớm các bệnh viêm họng. Cùng với đó là duy trì chế độ ăn uống đầy đủ dưỡng chất, tiêm ngừa các bệnh nhiễm khuẩn và tăng cường vận động.
Với người đã mắc bệnh van tim hậu thấp, việc tuân thủ chế độ ăn lành mạnh, hạn chế chất béo xấu, tập luyện đều đặn và tránh căng thẳng là rất quan trọng nhằm ngăn bệnh tiến triển.
-
Khoảng 5-25% người khỏe mạnh có thể mang não mô cầu mà không biết -
Tin mới y tế ngày 9/5: Trẻ dưới 6 tuổi sẽ được khám định kỳ hằng năm, có tầm soát nguy cơ tự kỷ -
Người đàn ông phát hiện mắc viêm gan B mạn tính và xơ hóa gan khi kiểm tra sức khỏe định kỳ tại MEDLATEC -
Ðại diện Việt Nam 2 năm liên tiếp thắng lớn tại Healthcare Asia Pharma Awards -
Hoại tử, áp xe môi sau tiêm tan filler tại cơ sở làm đẹp không phép -
Chấm dứt cơn đau vai suốt 10 năm nhờ liệu pháp sinh học hiện đại -
Đề xuất thống nhất một đầu mối quản lý an toàn thực phẩm toàn quốc
-
Diamond Hill Thái Nguyên khai trương tầng thực tế, hiện thực hóa chuẩn sống cao cấp giữa trung tâm thành phố -
Đầu tư phòng thí nghiệm dược: Khi thiết bị chưa đủ để tạo hiệu quả -
CARA Lighting phát triển giải pháp chiếu sáng gắn với sức khỏe và trải nghiệm -
VSIP ký kết hợp tác phân phối dự án Sun Casa Square và triển khai chuỗi tiện ích -
Acecook Việt Nam khởi động dự án trồng 10.500 cây xanh tại tỉnh Quảng Trị - “Gieo mầm hạnh phúc - phủ xanh tương lai” -
Giao lưu nhân dân tại Đồng Nai chào mừng 50 năm quan hệ Việt Nam - Thái Lan

